In the modern era, advanced diagnostic technology has significantly increased the diagnosis and treatment of various health conditions.
In the modern era, advanced diagnostic technology has significantly increased the diagnosis and treatment of various health conditions. Both CT and MRI scan is used to assess or diagnose a wide range of conditions.
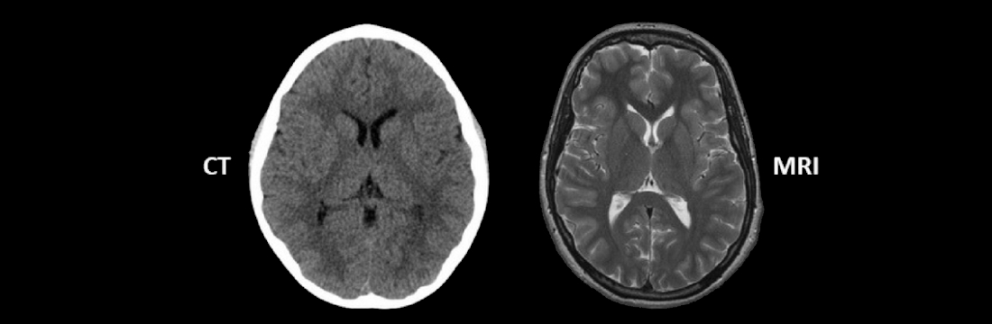
Today CT scan and MRI scans is a common diagnostic tool which is used by doctors in day-to-day practice. For many of the people, the procedure looks the same but in reality they are very much different from each other in many aspects like methodologies, strengths and areas of application.
Understanding CT Brain Scans
Computed tomography also known as CT scan or CAT scan. In a CT scan, an X-ray is used to create detailed images of the brain. CT scans are highly sensitive and swiftly capture detailed images of the skull, which shows fractures, bleeding and other bone-related problems. CT is much faster than MRI, and this rapid imaging is particularly useful in emergency situations where early assessment is crucial like in traumatic injuries of the brain or suspected bleeding in the brain.
The advantage of CT scans lies in their speed and accessibility. The procedure is relatively quick, taking only a few minutes to generate comprehensive images. CT scans can be performed at no risk to the patients with implanted devices like cardiac pacemakers, vascular clips etc,

Explore Brain With MRI Scan
On the other hand MRI (Magnetic Resonance Imaging ) Scan uses a powerful magnetic field and radio waves to create highly detailed images of soft tissues or organs. MRI is a preferred modality to evaluate the brain’s anatomy, nerves, blood vessels and brain tissues. MRI brain is a valuable diagnostic technique in detecting abnormalities such as tumours, strokes, multiple sclerosis, Alzheimer's disease and many more.
The primary advantage of MRI scans lies in their ability to offer exceptional detail and clarity of soft tissues without exposing the patient to harmful X-ray radiation. This non-invasive harm-less nature of MRI scans makes this diagnostic tool a preferred choice for repeated imaging and in individuals who are sensitive to radiation like childrens and pregnant women.
Choosing the Right Diagnostic Tool

When it comes to determining which modality is better for brain diagnostics, it commonly depends on the specific circumstances of the patient and the nature of the condition being investigated. In cases where soft tissue visualisation is required such as evaluating tumours or neurological disorders. MRI scans offer unparalleled precision.
Conclusion
Both CT scans and MRI Scans play an indispensable role in diagnosing brain-related conditions. The choice of CT and MRI depends on various factors like age, health conditions or any other specific condition.
If you need to detect the soft tissue, ligaments or organs then the doctor will recommend MRI Scans. While CT scan is recommended by the doctors in case of fracture or head trauma.
In conclusion, CT and MRI scans both revolutionised the study of the brain by giving us comprehensive detailed information of the brain non-invasively.
Their differences in imaging techniques and capabilities complement each other, enabling healthcare providers to make informed decisions, diagnosis, and treatment planning. Collaborative decision-making involves healthcare providers and patients which plays a vital role in the selection of the best suitable diagnostic techniques.
Ganesh Diagnostic and Imaging Centre offers comprehensive and accurate diagnostics services to help diagnose and treat medical conditions. We strive to provide a comfortable and safe environment for our patients and we are committed to providing best care.
Understanding the nuances of these imaging modalities empowers individuals to participate actively in their healthcare journey, fostering a collaborative approach towards achieving optimal health outcomes.
You Can Call Us 24x7 for Any Query
Frequently Asked Questions Related CT Brain vs MRI Brain
What is CT Scan?
A Ct Scan or Computed tomography scan is a non-invasive medical imaging technique that uses X-Rays to examine the various parts of the body. It provides information about the internal structures, including bones, organs and tissues.
What is MRI?
An MRI is an imaging technique which produces images of the organs and structures inside your body by using magnetic fields and radio waves. It is used to investigate the soft tissues and its disorders like tumours, internal bleeding in the brain or other brain disorders.
Can CT Scan Detect Brain Tumours?
Yes, doctors can find brain tumours with the aid of a CT scan. Even though CT scans are a useful tool, some tumours may still be difficult to identify with them.
What Are the Limitations of CT Scan in Detecting Brain Tumours?
Brain tumours may not always be definitively diagnosed by CT scans. Certain tumour types, like low-grade or smaller tumours, may be difficult to spot on a CT scan.
In these situations, medical professionals might advise additional diagnostic imaging techniques, like PET or MRI scans, to get more precise data.
What Can a Brain MRI Show That CT Can Not?
When it comes to detecting certain diseases that a CT scan is unable to identify, MRI truly shines. MRI also provides a better picture of metastases to the brain and bone.
What Does MRI Brain Scan Show?
A brain MRI can assist physicians in searching for conditions like haemorrhage, edema, abnormalities in brain development, tumours, infections, inflammation, damage from an injury or stroke, or issues with blood vessels.
Which is the Best Centre for Brain Tumour Testing?
When it comes to the diagnostic and testing of brain tumours, choosing the right diagnostic centre is of utmost importance. Ganesh Diagnostic and Imaging centre is one of the leading diagnostic centres which is well known for its comprehensive and advanced approach to brain tumour testing and treatment.


