Login

MRI Brain + DWI (Diffusion Weighted Imaging)

MRI Brain + DWI (Diffusion Weighted Imaging)

Book MRI Brain + DWI (Diffusion Weighted Imaging) Appointment Online Near me at the best price in Delhi/NCR from Ganesh Diagnostic. NABL & NABH Accredited Diagnostic centre and Pathology lab in Delhi offering a wide range of Radiology & Pathology tests. Get Free Ambulance & Free Home Sample collection. 24X7 Hour Open. Call Now at 011-47-444-444 to Book your MRI Brain + DWI (Diffusion Weighted Imaging) at 50% Discount.

₹ 12000 ₹ 6000

Request A Call Back

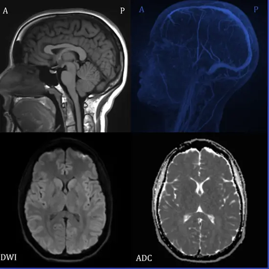
MRI BRAIN + DWI is a procedure in which it uses specific MRI sequences and software that produces images from the resulting data that utilize the diffusion of water molecules to produce contrast in MR images.

Why done?

MRI Brain DWI is an MRI technique that helps to measure molecular diffusion in biological tissues. It is conducted to detect acute ischemic stroke and differentiation of acute stroke from other developments that occur with sudden neurologic deficits.

Procedure

In this procedure, DWI is combined with perfusion MRI, and outlines salvageable areas of ischemia and MR angiography. It provides a valuable guide for stroke management. For standard neuroimaging application, b-values up to 1000 are used. 

How does one prepare for test?

Before the test you can eat, drink and take your medications as usual. You may be instructed to observe fasting for 6-8 hours prior to test if your doctor ordered a scan for your other body parts.

Required Documents

* Doctor's prescription slip
Documents related to medical history
Any valid ID proof for verification

After Care

If you are not given any sedative, you may resume your usual activities and normal diet immediately after the exam. However, if you have any allergic symptoms inform your doctor immediately. 

Cost of MRI BRAIN + DWI

This test costs around Rs.9000-10000/-. Reach certified diagnostic centre like Ganesh Diagnostic as early as possible for best results

Book MRI Brain + DWI Online at Ganesh Diagnostic

To provide hassle-free diagnostic service we also provide online service to book your appointment. At Ganesh Diagnostic, you can book MRI Brain + DWI test online by scheduling your appointment. Quick, non-invasive MRI appointment is available for detailed insights into your body. Schedule now for a comprehensive health assessment. We are 24/7 Available at your service.

Test Type MRI Brain + DWI (Diffusion Weighted Imaging)
Includes

MRI Brain + DWI (Diffusion Weighted Imaging) (MRI Scans

Preparation
  • Remove the object that contains Metal, such as Jewellery, Hair Clips, watches, Rings, or any other similar object.
  • You must inform the technologist, radiology nurse, and/or physician if you have allergies, are pregnant, breastfeeding, or are on medication.
  • No fasting is required.
  • Doctor’s Prescription.
  • Bring all documents related to medical history.
  • Carry Your ID Proof.
Reporting

Within 4-6 hours*

Test Price ₹ 6000 ₹ 12000
Frequently Asked Questions
FAQ

Related Tests

Health Packages

Early check ups are always better than delayed ones. Safety, precaution & care is depicted from the several health checkups. Here, we present simple & comprehensive health packages for any kind of testing to ensure the early prescribed treatment to safeguard your health.

view all health packages