Login

MRI Brain With CSF Flow - Book Test at Low Cost

mri brain with csf flow study

MRI Brain With CSF Flow Study

Book MRI Brain With CSF Flow Study Appointment Online Near me at the best price in Delhi/NCR from Ganesh Diagnostic. NABL & NABH Accredited Diagnostic centre and Pathology lab in Delhi offering a wide range of Radiology & Pathology tests. Get Free Ambulance & Free Home Sample collection. 24X7 Hour Open. Call Now at 011-47-444-444 to Book your MRI Brain With CSF Flow Study at 50% Discount.

₹ 17000 ₹ 8500

Request A Call Back

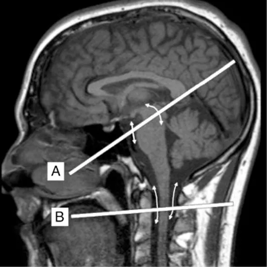
What is MRI Brain with CSF Flow Study?

MRI of the brain with CSF Flow study uses magnetic and radio waves for the detection of abnormalities in the cerebrospinal fluid (CSF) in the brain and spinal cord. or spine that estimates the flow of cerebrospinal fluid (CSF) around the brain, brainstem or spinal cord.

Why is MRI Brain with CSF Flow Study Done?

  • Measure the gauge hydrocephalus (increased brain fluid)
  • Flow obstruction
  • Achondroplasts.
  • Aqueductal stenosis.
  • Normal Pressure Hydrocephalus.

How do I prepare for an MRI Brain with CSF Flow Study?

Remove metal-containing objects from your body and your pocket.

Inform the doctor/ radiologist/ technologist before your scanning procedure if you have any of the following

  • Pregnancy
  • Metal implants inside your body such as a pacemaker, surgical clips, stunt, aneurysm clips, etc.
  • Claustrophobia
  • Allergy from contrast dye
  • Don’t consume caffeinated products and beverages before the procedure.

What is the procedure for an MRI Brain with CSF Flow Study?

Patients may be given contrast dye through an IV line before the scanning procedure if needed. You lie on a moveable table with your head placed on a headrest and arms at your sides.  The technologist places a coil over the area to be imaged and slides the table into the scanner. As the scanning proceeds, you hear a loud sound. Once the scanning is over, the technologist slides you out of the scanner.

What is the cost of an MRI Brain with CSF Flow Study?

The cost of an MRI Brain with CSF Flow Study near me in Delhi ranges from INR 8000 to INR 16000.

How to Book MRI Brain With CSF Flow Study Online at Ganesh Diagnostic?

To provide hassle-free diagnostic service we also provide online service to book your appointment. At Ganesh Diagnostic, you can book an MRI Brain With CSF Flow Study test online by scheduling your appointment. Quick, non-invasive MRI appointment is available for detailed insights into your body. Schedule now for a comprehensive health assessment. We are 24/7 Available at your service.

Test Type MRI Brain With CSF Flow Study
Includes

MRI Brain With CSF Flow Study (MRI Scan)

Preparation
  • Remove the object that contains Metal, such as Jewellery, Hair Clips, watches, Rings, or any other similar object.
  • You must inform the technologist, radiology nurse, and/or physician if you have allergies, are pregnant, breastfeeding, or are on medication.
  • No fasting is required.
  • Doctor’s Prescription.
  • Bring all documents related to medical history.
  • Carry Your ID Proof.
Reporting

Within 4-6 hours*

Test Price ₹ 8500 ₹ 17000
Frequently Asked Questions
FAQ

MRI of the brain with CSF Flow study uses magnetic and radio waves for the detection of abnormalities in the cerebrospinal fluid (CSF) in the brain and spinal cord. MRI Brain with CSF Flow Measure the gauge hydrocephalus (increased brain fluid), Flow obstruction, Achondroplasts, Aqueductal stenosis etc.

 

Do not avoid the symptoms related to abnormalities of the brain, go for regular screening to avoid any delay in diagnosis and treatment. There are no such risks associated with an MRI Brain with CSF Flow when conducted in the presence of a healthcare expert and at a good healthcare facility with proper guidelines and protocols.

 

MRI Brain with CSF Flow is painless but some patients may feel uncomfortable if they have claustrophobia (fear of closed spaces).

 

The cost of an MRI Brain with CSF Flow depends on the area and the healthcare facility provider. You can choose Ganesh Diagnostic for discounts and the best facility or call at 011-47-444-444 / 011-47-333-333 for price confirmation.

 

MRI Brain with CSF Flow is safe but in some rare cases, patients may feel side effects like rash, nausea and vomiting.

 

You can type an MRI Brain with CSF Flow near me in Google search for the nearest centres available.

 

Related Tests

Health Packages

Early check ups are always better than delayed ones. Safety, precaution & care is depicted from the several health checkups. Here, we present simple & comprehensive health packages for any kind of testing to ensure the early prescribed treatment to safeguard your health.

view all health packages