Login

MR Renal Angiography - Test, Procedure & Cost

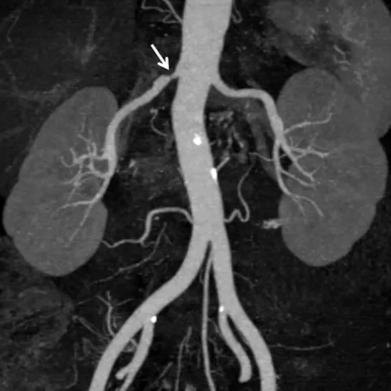
mr angiography renal

MR Angiography Renal

Book MR Angiography Renal Appointment Online Near me at the best price in Delhi/NCR from Ganesh Diagnostic. NABL & NABH Accredited Diagnostic centre and Pathology lab in Delhi offering a wide range of Radiology & Pathology tests. Get Free Ambulance & Free Home Sample collection. 24X7 Hour Open. Call Now at 011-47-444-444 to Book your MR Angiography Renal at 50% Discount.

₹ 16000 ₹ 8000

Request A Call Back

What is MR Angiography Renal?

MR Angiography Renal enables the correct evaluation of renal artery stenosis by examining the blood vessels of the kidneys.

Why is MR Angiography Renal Done? 

  • Detection of renal blood vessel congenital anomalies. 
  • To identify kidney artery and vein constriction.
  • To detect stroke-related renal blood vessel injury.

What is the procedure for the Angiography Renal MR Screening Test?

The MRI radiologist will explain. 

How does one Prepare for the Test? 

  • Notify your technician of metallic implants such as surgical staples, clips, or pacemakers. You may also need to remove metal objects such as jewellery or watches.
  • If you are pregnant, notify your technician, as radiation may harm the baby.
  • Tell your doctor if you have any health problems, such as kidney or liver disease. Also, tell them what medicines you're on and if you're allergic to anything, especially iodine-based contrast materials.

Aftercare

No care is required.

What is the Cost of an MR Scan Angiography Renal Test in Delhi?

The cost of the Magnetic Resonance Angiography (MRA) for the Renal Test in Delhi starts at INR 8,000 and ranges up to INR 9,000.

How to Book MR Angiography Renal Online at Ganesh Diagnostic?

To provide hassle-free diagnostic service we also provide online service to book your appointment. At Ganesh Diagnostic, you can book an MR Angiography Renal test by scheduling your appointment. Quick, non-invasive MRI appointment is available for detailed insights into your body. Schedule now for a comprehensive health assessment. We are 24/7 Available at your service.

Test Type MR Angiography Renal
Includes

MR Angiography Renal (MRI Scans

Preparation
  • Remove the object that contains Metal, such as Jewellery, Hair Clips, Watches, Rings, or any other similar object.
  • You must inform the technologist, radiology nurse, and/or physician if you have allergies, are pregnant, breastfeeding, or are on medication.
  • No fasting is required.
  • You can drink water.
  • Latest (1 Week) Serum Creatinine or KFT report required.
  • Doctor’s prescription.
  • Bring all documents related to medical history.
  • Carry your ID Proof.
Reporting

Within 4-6 hours*

Test Price ₹ 8000 ₹ 16000
Frequently Asked Questions
FAQ

MRI (Magnetic Resonance Imaging) screening of the MR Angiography Renal is a non-invasive radiology test used to evaluate the condition of the blood vessels of kidney and surrounding tissue. MR Angiography Renal is done to look for the blood vessels of the kidneys and the surrounding area.

Do not avoid the symptoms related to renal abnormalities, go for screening to avoid any delay in diagnosis and treatment. There are no such risks associated with an MR Angiography Renal when conducted in the presence of a healthcare expert and at a good healthcare facility with proper guidelines and protocols.

MR Angiography Renal is a painless procedure, but some patients may feel uncomfortable with the test if they have a fear of closed spaces.

Patients can visit Ganesh's diagnostic website or call at 011-47-444-444 / 011-47-333-333 to download the MR Angiography Renal report online.

 

MR Angiography Renal is safe but in some rare cases of contrast, patients may feel side effects like rash, nausea and vomiting.

 

Related Tests

Health Packages

Early check ups are always better than delayed ones. Safety, precaution & care is depicted from the several health checkups. Here, we present simple & comprehensive health packages for any kind of testing to ensure the early prescribed treatment to safeguard your health.

view all health packages