Login

X-ray TM Joint-Open Mouth - Test, Procedure & Cost

x-ray tm joint open mouth

X-Ray TM Joint Open Mouth

Book X-Ray TM Joint Open Mouth Appointment Online Near me at the best price in Delhi/NCR from Ganesh Diagnostic. NABL & NABH Accredited Diagnostic centre and Pathology lab in Delhi offering a wide range of Radiology & Pathology tests. Get Free Ambulance & Free Home Sample collection. 24X7 Hour Open. Call Now at 011-47-444-444 to Book your X-Ray TM Joint Open Mouth at 50% Discount.

₹ 800 ₹ 400

Request A Call Back

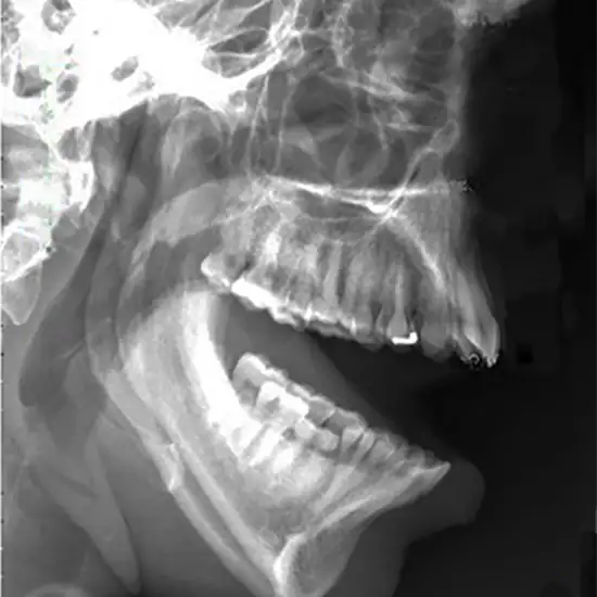
What is an X-ray TM Joint-Open Mouth Test?

 X-Ray TM Joint-Open Mouth helps doctors figure out if your jaw is out of place or hurt at the TMJ site or in its muscles. If you have pain in your ear, face, jaw, or mouth, or if you have trouble chewing, this test is done.

Why is it done? 

  • To diagnose TM damage or fracture,
  • Diagnose jaw dislocation
  • To identify temporomandibular diseases caused by TM joint muscles or the joint itself.

What is the procedure for the TM Joint-Open Mouth Radiograph Test?

The X-Ray technician will explain. 

How does one prepare for the test? 

  • Wear loose-fitting clothing. No preparation is needed.
  • If you are pregnant, notify your technician, as radiation may harm the baby.

After Care: 

No care is required.

The cost of a TM Joint-Open Mouth Radiology Test in Delhi

The cost of the X-Ray imaging for the TM Joint-Open Mouth Test in Delhi starts at INR 250.

Test Type X-Ray TM Joint Open Mouth
Includes

X-Ray TM Joint Open Mouth (X-Ray)

Preparation
  • Remove the object that contains Metal, such as Jewellery, Hair Clips, Watches, Rings, or any other similar object from scanning part of the body, so as to avoid a bright or blank spot on the diagnostic film.
  • You must inform the technologist, radiology nurse, and/or physician if you have allergies, are pregnant, breastfeeding, or are on medication.
  • Fasting is not required.
  • Doctor’s Prescription if any
  • Bring all documents related to medical history.
  • Carry Your ID Proof.
Reporting

Within 3-4 hours*

Test Price ₹ 400 ₹ 800
Frequently Asked Questions
FAQ

Related Tests

Health Packages

Early check ups are always better than delayed ones. Safety, precaution & care is depicted from the several health checkups. Here, we present simple & comprehensive health packages for any kind of testing to ensure the early prescribed treatment to safeguard your health.

view all health packages