Login

X-ray Sternum Lateral View - Test, Procedure & Cost

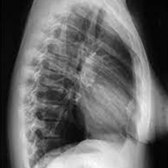
X-ray Sternum Lateral View

X-ray Sternum Lateral View

Book X-ray Sternum Lateral View Appointment Online Near me at the best price in Delhi/NCR from Ganesh Diagnostic. NABL & NABH Accredited Diagnostic centre and Pathology lab in Delhi offering a wide range of Radiology & Pathology tests. Get Free Ambulance & Free Home Sample collection. 24X7 Hour Open. Call Now at 011-47-444-444 to Book your X-ray Sternum Lateral View at 50% Discount.

₹ 800 ₹ 400

Request A Call Back

What is an X-ray Sternum LAT View Test?

The lateral sternum is a cross-sectional x-ray view of the whole length of the sternum. The view is used to ask questions about fractures or infections.

A sternum X-ray is used to see the sternum (also known as the breastbone) and the surrounding soft tissues.

Why is it done? 

  • To examine the sternum for any suspected damage or fracture.
  • For the diagnosis of any suspicious tumor in the region of the sternum.

What is the Procedure for the sternum (lateral view) Radiograph Test?

The X-Ray technician will explain. 

How does one prepare for the test? 

No preparation is needed. You should wear loose-fitting clothing.

After Care: 

No care is required.

Cost of Sternum (lateral view) Radiology Test in Delhi: 

The cost of the X-Ray imaging for the Sternum LAT View Test in Delhi starts at INR 350.

Test Type X-ray Sternum Lateral View
Includes
Preparation
  • Remove the object that contains Metal, such as Jewellery, Hair Clips, Watches, Rings, or any other similar object from scanning part of the body, so as to avoid a bright or blank spot on the diagnostic film.
  • You must inform the technologist, radiology nurse, and/or physician if you have allergies, are pregnant, breastfeeding, or are on medication.
  • Fasting is not required.
  • Doctor’s Prescription if any
  • Bring all documents related to medical history.
  • Carry Your ID Proof.
Reporting

4-6 hours

Test Price ₹ 400 ₹ 800
Frequently Asked Questions
FAQ

Related Tests

Health Packages

Early check ups are always better than delayed ones. Safety, precaution & care is depicted from the several health checkups. Here, we present simple & comprehensive health packages for any kind of testing to ensure the early prescribed treatment to safeguard your health.

view all health packages