toto toto slot
X-ray Right Ankle LAT View | Test Price in Delhi | Ganesh Diagnostic

Login

X-ray Right Ankle LAT View - Test, Procedure & Cost

X-ray Right Ankle LAT View

X-ray Right Ankle LAT View

Book X-ray Right Ankle LAT View Appointment Online Near me at the best price in Delhi/NCR from Ganesh Diagnostic. NABL & NABH Accredited Diagnostic centre and Pathology lab in Delhi offering a wide range of Radiology & Pathology tests. Get Free Ambulance & Free Home Sample collection. 24X7 Hour Open. Call Now at 011-47-444-444 to Book your X-ray Right Ankle LAT View at 50% Discount.

₹ 800 ₹ 400

Request A Call Back

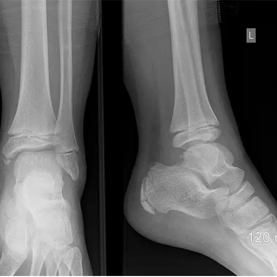
What is an X-ray Right Ankle LAT View Test?

A lateral X-ray of the right ankle is used to see the bones and soft tissues of the right ankle. The X-ray will assist in evaluating your ankle bones. On the X-ray of the right ankle (calcaneus), the following bones (tibia and fibula), bones of the hindfoot (talus, navicular, cuboid), the bottom of the 5th long bone of the foot (metatarsal), and the heel bone.

The lateral view right ankle X-ray is appropriate when a fracture, dislocation, or fluid is suspected around the right ankle joint.

Why is it done? 

  • To diagnose ankle fractures and monitor their recovery.
  • To identify infections, osteoporosis, bone abnormalities, and arthritis (inflammation of the joints).

What is the procedure for the right ankle LAT View Radiograph Test?

The X-Ray technician will explain. 

How does one prepare for the test? 

  • Wear loose-fitting clothing. 
  • If you are pregnant, notify your technician, as radiation may harm the baby.

After Care: 

No care is required.

Cost of Right Ankle LAT View Radiology Test in Delhi: 

The cost of the X-Ray imaging for the Right Ankle LAT View Test in Delhi starts at INR 350.

Test Type X-ray Right Ankle LAT View
Includes
Preparation
  • Remove the object that contains Metal, such as Jewellery, Hair Clips, Watches, Rings, or any other similar object from scanning part of the body, so as to avoid a bright or blank spot on the diagnostic film.
  • You must inform the technologist, radiology nurse, and/or physician if you have allergies, are pregnant, breastfeeding, or are on medication.
  • Fasting is not required.
  • Doctor’s Prescription if any
  • Bring all documents related to medical history.
  • Carry Your ID Proof.
Reporting

4-6 hours

Test Price ₹ 400 ₹ 800
Frequently Asked Questions
FAQ

Related Tests

Health Packages

Early check ups are always better than delayed ones. Safety, precaution & care is depicted from the several health checkups. Here, we present simple & comprehensive health packages for any kind of testing to ensure the early prescribed treatment to safeguard your health.

view all health packages