Login

X-ray Pelvis AP & Lateral View - Test, Procedure & Cost

X-Ray Pelvis AP & Lateral View

X-Ray Pelvis AP & Lateral View

Book X-Ray Pelvis AP & Lateral View Appointment Online Near me at the best price in Delhi/NCR from Ganesh Diagnostic. NABL & NABH Accredited Diagnostic centre and Pathology lab in Delhi offering a wide range of Radiology & Pathology tests. Get Free Ambulance & Free Home Sample collection. 24X7 Hour Open. Call Now at 011-47-444-444 to Book your X-Ray Pelvis AP & Lateral View at 50% Discount.

₹ 1000 ₹ 500

Request A Call Back

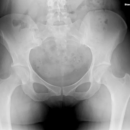
What is an X-ray Pelvis AP & Lateral View Test?

In X-ray Pelvis, the AP and lateral views make it simple to see the hip bones, thigh bones (the top portion of the femur), the hip joint, the skin, and the muscles surrounding the pelvis. AP (anteroposterior) refers to X-rays taken from the front to the back with the legs straight. Lateral refers to the lateral aspect of the flexed pelvis. 

Why is it done? 

Fractures, joint dislocations, inflammations, bone lesions (abnormal alterations), and other degenerative disorders of the pelvis and adjacent tissues may be identified using AP and lateral X-ray views. To diagnose arthritis and hip dislocations.

What is the pelvic (AP & Lateral View) radiograph test procedure?

The X-Ray technician will explain. 

How does one prepare for the test? 

  • Wear loose-fitting clothing. No preparation is needed.
  • If you are pregnant, notify your technician, as radiation may harm the baby.

After Care: 

No care is required.

Cost of Pelvic AP & Lateral View Radiology Test in Delhi

The cost of the X-Ray imaging for the Pelvis AP & Lateral View Test in Delhi starts at INR 700.

Test Type X-Ray Pelvis AP & Lateral View
Includes

X-ray Pelvis AP & Lateral View (X-ray)

Preparation
  • Remove the object that contains Metal, such as Jewellery, Hair Clips, Watches, Rings, or any other similar object from scanning part of the body, so as to avoid a bright or blank spot on the diagnostic film.
  • You must inform the technologist, radiology nurse, and/or physician if you have allergies, are pregnant, breastfeeding, or are on medication.
  • Fasting is not required.
  • Doctor’s Prescription if any
  • Bring all documents related to medical history.
  • Carry Your ID Proof.
Reporting

4-6 hours

Test Price ₹ 500 ₹ 1000
Frequently Asked Questions
FAQ

Related Tests

Health Packages

Early check ups are always better than delayed ones. Safety, precaution & care is depicted from the several health checkups. Here, we present simple & comprehensive health packages for any kind of testing to ensure the early prescribed treatment to safeguard your health.

view all health packages