Login

X-ray Mastoids Lateral Oblique View - Test, Procedure & Cost

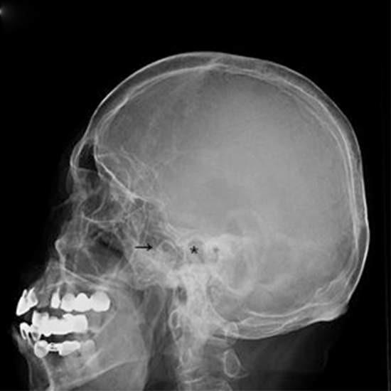
x-ray mastoids lateral oblique view

X-ray Mastoids Lateral Oblique View

Book X-ray Mastoids Lateral Oblique View Appointment Online Near me at the best price in Delhi/NCR from Ganesh Diagnostic. NABL & NABH Accredited Diagnostic centre and Pathology lab in Delhi offering a wide range of Radiology & Pathology tests. Get Free Ambulance & Free Home Sample collection. 24X7 Hour Open. Call Now at 011-47-444-444 to Book your X-ray Mastoids Lateral Oblique View at 50% Discount.

₹ 1000 ₹ 500

Request A Call Back

What is an X-ray Mastoids Lateral Oblique View Test?

The bone that sits behind the ear and is a component of the skull's temporal bone is called the mastoid. This bone has spaces in it where air can get in. When there is an infection in the middle ear called mastoiditis, this area gets sick. The mastoid bone is examined from the side during the oblique view X-ray test.

Why is it done? 

The x-ray oblique view exam provides valuable mastoid information. It gives the following mastoid pathology results:

  • Mastoid cellularity
  • Cortical bone width
  • Mastoid symmetry
  • Determining whether or not the mastoid cavity is preserved 
  • Cholesteatoma information.

What is the Mastoids (Lateral Oblique View) Radiograph Test Procedure?

The X-Ray technician will explain. 

How does one prepare for the test? 

  • Wear loose-fitting clothing.
  • If you are pregnant, notify your technician, as radiation may harm the baby.

After Care: 

No care is required.

The Cost of Mastoids LAT Oblique View Radiology Test in Delhi: 

The cost of the X-Ray imaging for the Mastoids Lateral Oblique View Test in Delhi starts at INR 500.

Test Type X-ray Mastoids Lateral Oblique View
Includes

X-ray Mastoids Lateral Oblique View 

Preparation
  • Remove the object that contains Metal, such as Jewellery, Hair Clips, Watches, Rings, or any other similar object from scanning part of the body, so as to avoid a bright or blank spot on the diagnostic film.
  • You must inform the technologist, radiology nurse, and/or physician if you have allergies, are pregnant, breastfeeding, or are on medication.
  • Fasting is not required.
  • Doctor’s Prescription if any
  • Bring all documents related to medical history.
  • Carry Your ID Proof.
Reporting

4-6 hours

Test Price ₹ 500 ₹ 1000
Frequently Asked Questions
FAQ

Related Tests

Health Packages

Early check ups are always better than delayed ones. Safety, precaution & care is depicted from the several health checkups. Here, we present simple & comprehensive health packages for any kind of testing to ensure the early prescribed treatment to safeguard your health.

view all health packages