toto toto slot
X-ray CV Junction Extension/Flexion | Test Price in Delhi | Ganesh Diagnostic

Login

X-ray CV Junction Extension/Flexion - Test, Procedure & Cost

x-ray cv junction extension/flexion

X-Ray CV Junction Extension/Flexion

Book X-Ray CV Junction Extension/Flexion Appointment Online Near me at the best price in Delhi/NCR from Ganesh Diagnostic. NABL & NABH Accredited Diagnostic centre and Pathology lab in Delhi offering a wide range of Radiology & Pathology tests. Get Free Ambulance & Free Home Sample collection. 24X7 Hour Open. Call Now at 011-47-444-444 to Book your X-Ray CV Junction Extension/Flexion at 50% Discount.

₹ 1000 ₹ 500

Request A Call Back

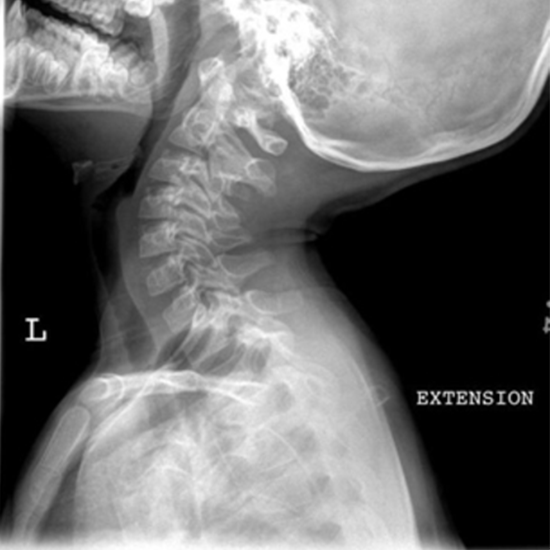
What is an X-ray CV Junction Extension/Flexion Test?

The C1-C2 test is an X-ray that shows the upper cervical spine, especially the C1 and C2 vertebrae, and the soft tissues around them (skin and muscles). Vertebral pain at C1-C2 can range from a dull ache to a sharp, burning pain in the neck. C1-C2 pain can last for a short time or for a long time.

Why is it done? 

The doctor gives you this test to determine if you have a broken C1 vertebra (C1 Burst Fracture) or a broken C2 vertebra (C2 Odontoid Fracture). To find out if the ligaments around the vertebra are hurt.

What is the Craniovertebral Junction Extension/Flexion View Radiograph Test Procedure?

The X-Ray technician will explain. 

How does one prepare for the test? 

  • Wear loose-fitting clothing. No preparation is needed.
  • If you are pregnant, notify your technician, as radiation may harm the baby.

After Care: 

No care is required.

The cost of a CV Junction Extension/Flexion Radiology Test in Delhi 

The cost of the X-Ray imaging for the CV Junction Extension/Flexion Test in Delhi starts at INR 500.

Test Type X-Ray CV Junction Extension/Flexion
Includes

X-Ray CV Junction Extension/Flexion (X-Ray)

Preparation
  • Remove the object that contains Metal, such as Jewellery, Hair Clips, Watches, Rings, or any other similar object from scanning part of the body, so as to avoid a bright or blank spot on the diagnostic film.
  • You must inform the technologist, radiology nurse, and/or physician if you have allergies, are pregnant, breastfeeding, or are on medication.
  • Fasting is not required.
  • Doctor’s Prescription if any
  • Bring all documents related to medical history.
  • Carry Your ID Proof.
Reporting

Within 3-4 hours*

Test Price ₹ 500 ₹ 1000
Frequently Asked Questions
FAQ

Related Tests

Health Packages

Early check ups are always better than delayed ones. Safety, precaution & care is depicted from the several health checkups. Here, we present simple & comprehensive health packages for any kind of testing to ensure the early prescribed treatment to safeguard your health.

view all health packages