toto
X-ray Both Wrist AP View | Test Price in Delhi | Ganesh Diagnostic

Login

X-ray Both Wrist AP View - Test, Procedure & Cost

X-ray Both Wrist AP View

X-ray Both Wrist AP View

Book X-ray Both Wrist AP View Appointment Online Near me at the best price in Delhi/NCR from Ganesh Diagnostic. NABL & NABH Accredited Diagnostic centre and Pathology lab in Delhi offering a wide range of Radiology & Pathology tests. Get Free Ambulance & Free Home Sample collection. 24X7 Hour Open. Call Now at 011-47-444-444 to Book your X-ray Both Wrist AP View at 50% Discount.

₹ 500 ₹ 250

Request A Call Back

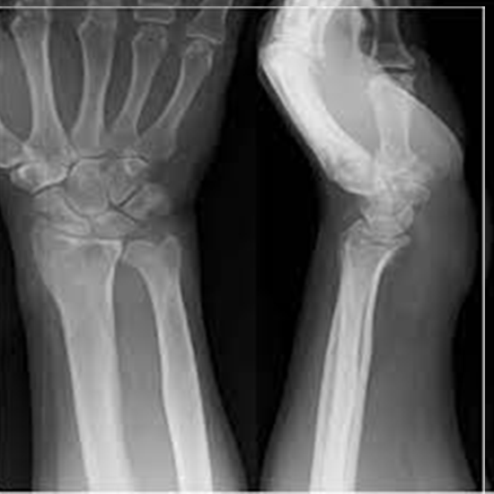
What is an X-ray Both Wrists AP View Test?

X-Ray View of the Right Wrist AP view utilizes a small amount of radiation while assisting in the visualization of the wrist. Two of the bones in the forearm (the radius and the ulna) plus eight smaller bones make up the wrist (carpal bones). You should do so if you have symptoms such as pain, tenderness, or swelling in your feet.

Why is it done? 

It is beneficial in diagnosing infections, cysts, tumors, and other disorders that may be present in the wrist bones. It is also done to evaluate the alignment of bones after surgery or as part of a study on bone aging before surgery.

What is the procedure for the Both Wrists AP View Radiograph Test?

The X-Ray technician will explain. 

How does one prepare for the test? 

  • No preparation is needed. You should wear loose-fitting clothing.
  • Notify your technician if you are pregnant, as radiation may harm the baby.

After Care: 

No care is required.

Cost of Both Wrists' AP View Radiology Test in Delhi: 

The cost of the X-Ray imaging for the Both Wrists AP View Test in Delhi starts at INR 250.

Test Type X-ray Both Wrist AP View
Includes
Preparation
  • Remove the object that contains Metal, such as Jewellery, Hair Clips, Watches, Rings, or any other similar object from scanning part of the body, so as to avoid a bright or blank spot on the diagnostic film.
  • You must inform the technologist, radiology nurse, and/or physician if you have allergies, are pregnant, breastfeeding, or are on medication.
  • Fasting is not required.
  • Doctor’s Prescription if any
  • Bring all documents related to medical history.
  • Carry Your ID Proof.
Reporting

4-6 hours

Test Price ₹ 250 ₹ 500
Frequently Asked Questions
FAQ

Related Tests

Health Packages

Early check ups are always better than delayed ones. Safety, precaution & care is depicted from the several health checkups. Here, we present simple & comprehensive health packages for any kind of testing to ensure the early prescribed treatment to safeguard your health.

view all health packages