Login

X-ray Both Femure-Thigh AP/Lateral - Test, Procedure & Cost

X-ray Both Femur-Thigh AP/LAT

X-ray Both Femur-Thigh AP/LAT

Book X-ray Both Femur-Thigh AP/LAT Appointment Online Near me at the best price in Delhi/NCR from Ganesh Diagnostic. NABL & NABH Accredited Diagnostic centre and Pathology lab in Delhi offering a wide range of Radiology & Pathology tests. Get Free Ambulance & Free Home Sample collection. 24X7 Hour Open. Call Now at 011-47-444-444 to Book your X-ray Both Femur-Thigh AP/LAT at 50% Discount.

₹ 700 ₹ 350

Request A Call Back

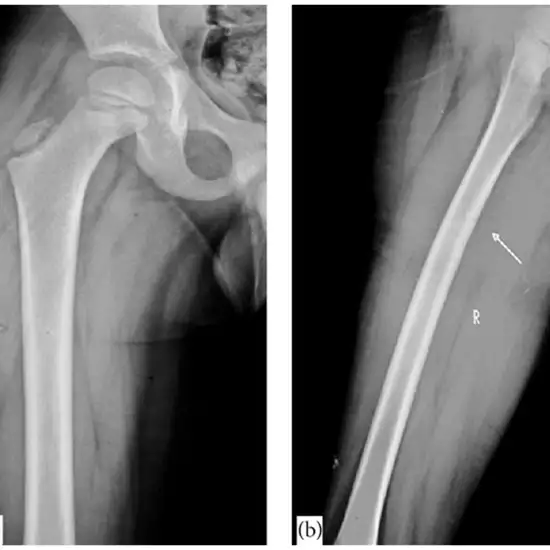
What is an X-ray Both Femur Thigh AP and LAT View Test?

The X-ray thigh bone (femur) and the soft tissues (skin and muscles) that surround it can be visualized with the help of the anterior-posterior (AP) and lateral (LAT) views of the femur and thigh, respectively.

Why is it done? 

The physician will recommend that you undergo this examination to determine whether or not you have fractured your thigh bone (femur) and how well the bone is healing once it has been set.

What is the Procedure for the Both Femur Thigh AP and LAT View Radiograph Test?

The X-ray technician will explain. 

How does one prepare for the test? 

  • No preparation is needed. You should wear loose-fitting clothing.
  • Notify your technician if you are pregnant, as radiation may harm the baby if not disclosed.

After Care: 

No care is required.

Cost of Both Femur Thigh AP & LAT View Radiology Tests in Delhi

The cost of the X-Ray imaging for the Both Femur Thigh AP & LAT View Test in Delhi starts at INR 350.

Test Type X-ray Both Femur-Thigh AP/LAT
Includes

X-ray Both Femur Thigh AP and LAT (X-Rays)

Preparation
  • Remove the object that contains Metal, such as Jewellery, Hair Clips, Watches, Rings, or any other similar object from scanning part of the body, so as to avoid a bright or blank spot on the diagnostic film.
  • You must inform the technologist, radiology nurse, and/or physician if you have allergies, are pregnant, breastfeeding, or are on medication.
  • Fasting is not required.
  • Doctor’s Prescription if any
  • Bring all documents related to medical history.
  • Carry Your ID Proof.
Reporting

4-6 hours

Test Price ₹ 350 ₹ 700
Frequently Asked Questions
FAQ

Related Tests

Health Packages

Early check ups are always better than delayed ones. Safety, precaution & care is depicted from the several health checkups. Here, we present simple & comprehensive health packages for any kind of testing to ensure the early prescribed treatment to safeguard your health.

view all health packages