toto toto slot
X-ray Both Elbow Joints AP View | Test Price in Delhi | Ganesh Diagnostic

Login

X-ray Both Elbow Joints AP View - Test, Procedure & Cost

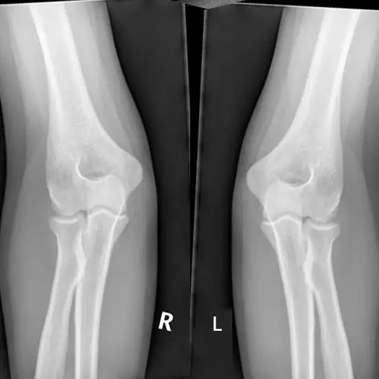
x-ray both elbow joints ap view

X-ray Both Elbow Joints AP View

Book X-ray Both Elbow Joints AP View Appointment Online Near me at the best price in Delhi/NCR from Ganesh Diagnostic. NABL & NABH Accredited Diagnostic centre and Pathology lab in Delhi offering a wide range of Radiology & Pathology tests. Get Free Ambulance & Free Home Sample collection. 24X7 Hour Open. Call Now at 011-47-444-444 to Book your X-ray Both Elbow Joints AP View at 50% Discount.

₹ 800 ₹ 400

Request A Call Back

What is an X-ray Both Elbow Joints AP View Test?

An elbow X-Ray AP view is a diagnostic test that provides the images of the inside of your elbow. X-ray of an elbow shows its soft tissues, elbow bone upper- humerus and lower hand bones - radius and ulna and the elbow joint. With the help of X-Ray doctors can assess the calcium in bones. 

Why is it Done?

Elbow X-ray can be used to diagnose the following conditions:-

  • Fractured bones in your elbow
  • Dislocated elbow joints
  • Bursitis
  • Cysts of the bone 
  • Degenerative conditions such as arthritis in your elbow
  • Bone cancer 

What Is the Procedure for Both Elbow Joints AP View Radiograph Test?

An X-ray procedure is like getting a picture of your elbow taken. The procedure may take 15 minutes or more. You will be asked to place your arm on the X-ray table by the technologist. To hold your elbow in position, they might wrap it in sponges or other positioning tools. Throughout the test, you will need to remain as motionless as possible because any movement could distort the X-ray images. Under the X-ray table, your technologist will place a digital recording plate or an X-ray film holder. After that, they'll enter a tiny space or hide behind a wall to operate the X-ray device.

An elbow X-ray typically consists of three images or more. When necessary, your technologist will come back to realign your elbow. Three different views will be captured: an anterior-posterior view, a lateral view, and an oblique view. Three different angles will also be captured. Inform your technologist if you're in any pain so they can support you during the test.

How Does One Prepare for the Test? 

  • Wear loose-fitting clothing. No preparation is needed.
  • If you are pregnant, notify your technician, as radiation may harm the baby.

After Care: 

No care is required.

Cost of Both Elbow Joints AP View Radiology Test in Delhi

The cost of the X-Ray imaging for the Both Elbow Joints AP View Test in Delhi starts at INR 250.

Book Elbow Joints AP View Online at Ganesh Diagnostic

To provide hassle-free diagnostic service we also provide online service to book your appointment. At Ganesh Diagnostic, you can book elbow joints AP View online by scheduling your appointment. Quick, non-invasive X-Ray appointments are available for detailed insights into your body. Schedule now for a comprehensive health assessment. We are 24/7 Available at your service

Test Type X-ray Both Elbow Joints AP View
Includes

X-Ray Both Elbow Joints AP View (X-ray)

Preparation
  • Wear loose-fitting clothing. No preparation is needed.
  • If you are pregnant, notify your technician, as radiation may harm the baby.

After Care: 

No care is required.

Reporting

Within 2-3 hours*

Test Price ₹ 400 ₹ 800
Frequently Asked Questions
FAQ

Related Tests

Health Packages

Early check ups are always better than delayed ones. Safety, precaution & care is depicted from the several health checkups. Here, we present simple & comprehensive health packages for any kind of testing to ensure the early prescribed treatment to safeguard your health.

view all health packages