Login

X-ray Both Calcaneum LAT - Test, Procedure & Cost

x-ray both calcaneum lat

X-Ray Both Calcaneum LAT

Book X-Ray Both Calcaneum LAT Appointment Online Near me at the best price in Delhi/NCR from Ganesh Diagnostic. NABL & NABH Accredited Diagnostic centre and Pathology lab in Delhi offering a wide range of Radiology & Pathology tests. Get Free Ambulance & Free Home Sample collection. 24X7 Hour Open. Call Now at 011-47-444-444 to Book your X-Ray Both Calcaneum LAT at 50% Discount.

₹ 1000 ₹ 500

Request A Call Back

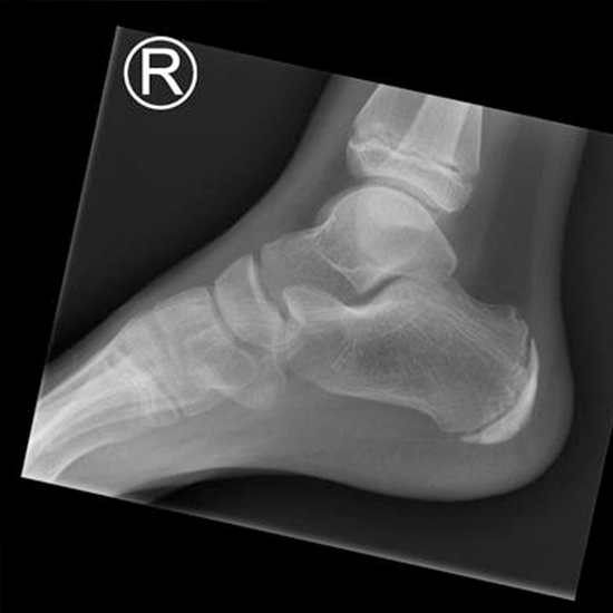
What is an X-ray Both Calcaneum LAT View Test?

X-rays are used to see the calcaneus (the bone of the heel) and the soft tissues around it (skin and muscles). This view lets doctors check for bone damage and figure out how big and where fractures are.

The doctor will give you this test to find out if your heel bone (calcaneus) is broken or fractured and check how it heals after it has been set.

Why is it done? 

  • To diagnose and monitor broken/fractured calcaneum (heel bone) healing.
  • To identify infections, osteoporosis, bone abnormalities, and arthritis (inflammation of the joints).

What is the Procedure for the Both Calcaneum LAT View Radiograph Test?

The X-Ray technician will explain. 

How does one prepare for the test? 

  • No preparation is needed. You should wear loose-fitting clothing.
  • Notify your technician if you are pregnant, as radiation may harm the baby if not disclosed to the radiographer technician.

After Care

No care is required.

Cost of Both Calcaneum LAT View Radiology Test in Delhi

The cost of the X-Ray imaging for the Both Calcaneum LAT View Test in Delhi starts at INR 500.

Book X-Ray Both Calcaneum LAT Test Online at Ganesh Diagnostic Centre

To provide hassle-free diagnostic service we also provide online service to book your appointment. At Ganesh Diagnostic, you can book X-Ray Both Calcaneum LAT test online by scheduling your appointment. Schedule now for a comprehensive health assessment. We are 24/7 Available at your service.

Test Type X-Ray Both Calcaneum LAT
Includes

X-ray Both Calcaneum LAT (X-Rays)

Preparation
  • Remove the object that contains Metal, such as Jewellery, Hair Clips, Watches, Rings, or any other similar object from scanning part of the body, so as to avoid a bright or blank spot on the diagnostic film.
  • You must inform the technologist, radiology nurse, and/or physician if you have allergies, are pregnant, breastfeeding, or are on medication.
  • Fasting is not required.
  • Doctor’s Prescription if any
  • Bring all documents related to medical history.
  • Carry Your ID Proof.
Reporting

4-6 hours

Test Price ₹ 500 ₹ 1000
Frequently Asked Questions
FAQ

Related Tests

Health Packages

Early check ups are always better than delayed ones. Safety, precaution & care is depicted from the several health checkups. Here, we present simple & comprehensive health packages for any kind of testing to ensure the early prescribed treatment to safeguard your health.

view all health packages