Login

X-ray Bone Age Study - Test, Procedure & Cost

x-ray bone age study

X-Ray Bone Age Study

Book X-Ray Bone Age Study Appointment Online Near me at the best price in Delhi/NCR from Ganesh Diagnostic. NABL & NABH Accredited Diagnostic centre and Pathology lab in Delhi offering a wide range of Radiology & Pathology tests. Get Free Ambulance & Free Home Sample collection. 24X7 Hour Open. Call Now at 011-47-444-444 to Book your X-Ray Bone Age Study at 50% Discount.

₹ 1050 ₹ 525

Request A Call Back

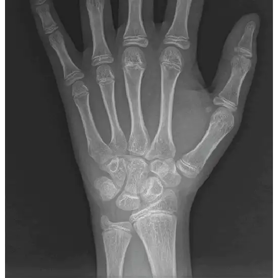
What is an X-ray Bone Age Study Test?

The results of bone age research provide medical professionals with a better idea of how mature a child's skeletal system is. A single X-ray is taken of the patient's left wrist, hand, and fingers to do this.

Why is it done? 

The bone age study can assist in determining how quickly or slowly a child's skeleton is maturing, thus aiding in the diagnosis of problems that slow or accelerate physical growth and development. 

The test can also help physicians track development and advise treatment for children with problems that impair growth, such as diseases that affect growth hormone levels and genetic growth disorders.

What is the procedure for the bone age study radiograph test?

The X-Ray technician will explain. 

How does one prepare for the test? 

  • Wear loose-fitting clothing. No preparation is needed.
  • If you are pregnant, notify your technician, as radiation may harm the baby.

After Care: 

No care is required.

Cost of Bone Age Study Radiology Test in Delhi

The cost of the X-Ray imaging for the Bone Age Study Test in Delhi starts at INR 525.

Test Type X-Ray Bone Age Study
Includes

X-Ray Bone Age Study (X-ray)

Preparation
  • Remove the object that contains Metal, such as Jewellery, Hair Clips, Watches, Rings, or any other similar object from scanning part of the body, so as to avoid a bright or blank spot on the diagnostic film.
  • You must inform the technologist, radiology nurse, and/or physician if you have allergies, are pregnant, breastfeeding, or are on medication.
  • Fasting is not required.
  • Doctor’s Prescription if any
  • Bring all documents related to medical history.
  • Carry Your ID Proof.
Reporting

Within 2-3 hours*

Test Price ₹ 525 ₹ 1050
Frequently Asked Questions
FAQ

Related Tests

Health Packages

Early check ups are always better than delayed ones. Safety, precaution & care is depicted from the several health checkups. Here, we present simple & comprehensive health packages for any kind of testing to ensure the early prescribed treatment to safeguard your health.

view all health packages