Login

X-ray Barium Upper Gastrointestinal & Follow Through - Test, Procedure & Cost

x-ray barium upper gastrointestinal & follow through

X-Ray Barium Upper Gastrointestinal & Follow Through

Book X-Ray Barium Upper Gastrointestinal & Follow Through Appointment Online Near me at the best price in Delhi/NCR from Ganesh Diagnostic. NABL & NABH Accredited Diagnostic centre and Pathology lab in Delhi offering a wide range of Radiology & Pathology tests. Get Free Ambulance & Free Home Sample collection. 24X7 Hour Open. Call Now at 011-47-444-444 to Book your X-Ray Barium Upper Gastrointestinal & Follow Through at 50% Discount.

₹ 4000 ₹ 2000

Request A Call Back

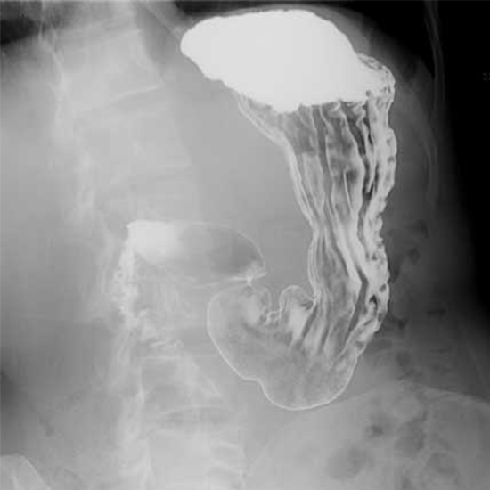
What is an X-ray Barium Meal Up GIT & Follow Through Test?

Upper Barium Gastrointestinal tests are used to examine the upper surface and contour of the gut. This test can detect tumors, polyps, and ulcers in the stomach, gullet, and upper gut region (duodenum).

Doctors usually prescribe an endoscopy instead of this test because barium tests include some radiation exposure. The test has several stages, including follow-up testing. 

Why is it done? 

  • To diagnose blood in the stools.
  • To determine the cause of bowel changes
  • To diagnose possible stomach and small intestine cancer
  • To diagnose non-specific stomach pain

What is the Procedure for the Barium Meal Up Git & Follow Through Radiograph Test?

The X-Ray technician will explain. 

How does one prepare for the test? 

  • You should wear loose-fitting clothing. Also, it is advised to fast the day before the test to ensure an empty bowel.
  • Avoid the test if you're pregnant. 

After Care: 

No care is required.

Cost of X-ray Barium Upper Gastrointestinal & Follow Through

The price of the X-Ray imaging for the Barium Meal Up Git & Follow Through Test in Delhi starts at INR 2000.

Test Type X-Ray Barium Upper Gastrointestinal & Follow Through
Includes

X-Ray Barium Upper Gastrointestinal & Follow Through (X-ray)

Preparation
  • Remove the object that contains Metal, such as Jewellery, Hair Clips, Watches, Rings, or any other similar object from scanning part of the body, so as to avoid a bright or blank spot on the diagnostic film.
  • You must inform the technologist, radiology nurse, and/or physician if you have allergies, are pregnant, breastfeeding, or are on medication.
  • Minimum 4 hours fasting required.
  • You can drink water.
  • Doctor’s Prescription.
  • Bring all documents related to medical history (if any).
  • Carry your ID Proof.
Reporting

Within 3-4 hours*

Test Price ₹ 2000 ₹ 4000
Frequently Asked Questions
FAQ

Related Tests

Health Packages

Early check ups are always better than delayed ones. Safety, precaution & care is depicted from the several health checkups. Here, we present simple & comprehensive health packages for any kind of testing to ensure the early prescribed treatment to safeguard your health.

view all health packages