toto toto slot
X-ray Barium Swallow Upper Gastrointestinal | Test Price in Delhi | Ganesh Diagnostic

Login

X-ray Barium Swallow Upper Gastrointestinal - Test, Procedure & Cost

x-ray barium swallow upper gastrointestinal

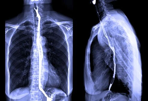
X-Ray Barium Swallow Upper Gastrointestinal

Book X-Ray Barium Swallow Upper Gastrointestinal Appointment Online Near me at the best price in Delhi/NCR from Ganesh Diagnostic. NABL & NABH Accredited Diagnostic centre and Pathology lab in Delhi offering a wide range of Radiology & Pathology tests. Get Free Ambulance & Free Home Sample collection. 24X7 Hour Open. Call Now at 011-47-444-444 to Book your X-Ray Barium Swallow Upper Gastrointestinal at 50% Discount.

₹ 3500 ₹ 1750

Request A Call Back

What is an X-ray Barium Swallow Test?

A barium swallow, also known as an esophagogram, employs a specialized form of X-rays to see the upper digestive tract. The test entails ingesting a barium liquid that enhances the visibility of body parts. If you have difficulty swallowing, bloating, vomiting, and abdominal pain, the test can be conducted.

Why is it done? 

  • For finding abnormalities in the throat, food pipe.
  • To help treat cysts, tumors, and ulcers.
  • To detect neck, throat, or esophageal cancer.
  • To diagnose muscle disorders and muscle spasms.

What is the procedure for the barium swallow radiograph test?

The X-ray technician will explain. 

How does one prepare for the test? 

  • You should wear loose-fitting clothing.
  • Notify your sonography technician in the case of a pregnancy. Unreported radiation may harm the baby. Precautions can be taken to protect the baby.

After Care

No care is required.

The cost of barium swallow radiology test in Delhi

The cost of the X-Ray imaging for the Barium Swallow Test varies by region and facility. So, get tested at trustworthy diagnostic centres like Ganesh Diagnostic. It is staffed by trained and experienced professionals to assure patient and visitor safety.

Book X-Ray Barium Swallow Upper Gastrointestinal Online at Ganesh Diagnostic Centre

To provide hassle-free diagnostic service we also provide online service to book your appointment. At Ganesh Diagnostic, you can book X-Ray Barium Swallow Upper Gastrointestinal test online by scheduling your appointment. Schedule now for a comprehensive health assessment. We are 24/7 Available at your service.

Test Type X-Ray Barium Swallow Upper Gastrointestinal
Includes

X-Ray Barium Swallow Upper Gastrointestinal (X-Ray)

Preparation
  • Remove the object that contains Metal, such as Jewellery, Hair Clips, Watches, Rings, or any other similar object from scanning part of the body, so as to avoid a bright or blank spot on the diagnostic film.
  • You must inform the technologist, radiology nurse, and/or physician if you have allergies, are pregnant, breastfeeding, or are on medication.
  • Minimum 4 hours fasting required.
  • You can drink water.
  • Doctor’s Prescription.
  • Bring all documents related to medical history (if any).
  • Carry your ID Proof.
Reporting

Within 3-4 hours*

Test Price ₹ 1750 ₹ 3500
Frequently Asked Questions
FAQ

Related Tests

Health Packages

Early check ups are always better than delayed ones. Safety, precaution & care is depicted from the several health checkups. Here, we present simple & comprehensive health packages for any kind of testing to ensure the early prescribed treatment to safeguard your health.

view all health packages