Login

X-Ray Barium Meal Upper Gastrointestinal (GIT) - Test, Procedure & Cost)

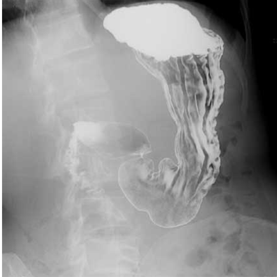
x-ray barium meal upper gastrointestinal

X-Ray Barium Meal Upper Gastrointestinal

Book X-Ray Barium Meal Upper Gastrointestinal Appointment Online Near me at the best price in Delhi/NCR from Ganesh Diagnostic. NABL & NABH Accredited Diagnostic centre and Pathology lab in Delhi offering a wide range of Radiology & Pathology tests. Get Free Ambulance & Free Home Sample collection. 24X7 Hour Open. Call Now at 011-47-444-444 to Book your X-Ray Barium Meal Upper Gastrointestinal at 50% Discount.

₹ 2500 ₹ 1250

Request A Call Back

The Barium Meal Upper Gastrointestinal test examines the duodenum or small intestine. This test detects polyps, ulcers, and tumors in the small intestine or stomach.

Why is it done? 

  • To determine the reason for any bowel movement changes.
  • To diagnose any suspected stomach or duodenal cancer,
  • To diagnose a probable diverticular disease or duodenal polyps or cysts,
  • To identify the etiology of non-specific abdominal pain.

What is the X-Ray Barium Meal Upper Gastrointestinal test procedure?

The X-ray technician will explain. 

How does one prepare for the test? 

  • You should wear loose-fitting clothing. It is best not to eat solids before the exam.
  • As the radiation may damage the baby, pregnant women should advise radiologic technologists of their condition. If necessary, steps can be taken to reduce radiation exposure.

After care: 

No care is required.

The cost of an X-Ray Barium Meal Upper Gastrointestinal

The cost of the X-ray Imaging for Barium Meal Upper Gastrointestinal Test varies by region and facility. So, get tested at trustworthy diagnostic centres like Ganesh Diagnostic. It is staffed by trained and experienced professionals to assure patient and visitor safety.

Book X-Ray Barium Meal Upper Gastrointestinal Online at Ganesh Diagnostic Centre

To provide hassle-free diagnostic service we also provide online service to book your appointment. At Ganesh Diagnostic, you can book X-Ray Barium Meal Upper Gastrointestinal test online by scheduling your appointment. Schedule now for a comprehensive health assessment. We are 24/7 Available at your service.

Test Type X-Ray Barium Meal Upper Gastrointestinal
Includes

X-Ray Barium Meal Upper Gastrointestinal (Digital X-Rays)

Preparation
  • Remove the object that contains Metal, such as Jewellery, Hair Clips, Watches, Rings, or any other similar object from scanning part of the body, so as to avoid a bright or blank spot on the diagnostic film.
  • You must inform the technologist, radiology nurse, and/or physician if you have allergies, are pregnant, breastfeeding, or are on medication.
  • Minimum 4 hours fasting required.
  • You can drink water.
  • Doctor’s Prescription.
  • Bring all documents related to medical history (if any).
  • Carry your ID Proof.
Reporting

Within 3-4 hours*

Test Price ₹ 1250 ₹ 2500
Frequently Asked Questions
FAQ

Related Tests

Health Packages

Early check ups are always better than delayed ones. Safety, precaution & care is depicted from the several health checkups. Here, we present simple & comprehensive health packages for any kind of testing to ensure the early prescribed treatment to safeguard your health.

view all health packages