toto toto slot
X-Ray Apicogram | Test Price in Delhi | Ganesh Diagnostic

Login

X-Ray Apicogram - Test, Procedure & Cost

X-Ray Apicogram

X-Ray Apicogram

Book X-Ray Apicogram Appointment Online Near me at the best price in Delhi/NCR from Ganesh Diagnostic. NABL & NABH Accredited Diagnostic centre and Pathology lab in Delhi offering a wide range of Radiology & Pathology tests. Get Free Ambulance & Free Home Sample collection. 24X7 Hour Open. Call Now at 011-47-444-444 to Book your X-Ray Apicogram at 50% Discount.

₹ 500 ₹ 250

Request A Call Back

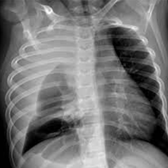
The lung apices (the topmost section of the lungs), the first few ribs, the collarbone, and the surrounding soft tissues, including skin and muscles, can all be visualized with an X-ray during the Apicogram test.

Why is it done? 

This test is recommended by the physician to make a diagnosis of suspected tuberculosis or another infection of the lungs, as well as to make a diagnosis of any abnormal growth (tumors) in this region and to search for any signs of chronic diseases such as chronic obstructive pulmonary disease (COPD).

What is the procedure for the X-Ray Apicogram?

The X-ray technician will explain. 

How does one prepare for the test? 

  • No preparation is needed. You should wear loose-fitting clothing.
  • Notify your technician if you are pregnant, as radiation may harm the baby if not disclosed to the radiographer technician.

Aftercare

No care is required.

The cost of an X-Ray Apicogram Test in Delhi: 

The cost of the X-Ray imaging for the Apicogram Test in Delhi starts at INR 250.

Book X-Ray Apicogram Test Online at Ganesh Diagnostic Centre

To provide hassle-free diagnostic service we also provide online service to book your appointment. At Ganesh Diagnostic, you can book X-Ray Apicogram test online by scheduling your appointment. Schedule now for a comprehensive health assessment. We are 24/7 Available at your service.

Test Type X-Ray Apicogram
Includes

X-Ray Apicogram (Digital X-Rays)

Preparation
  • Remove the object that contains Metal, such as Jewellery, Hair Clips, Watches, Rings, or any other similar object from scanning part of the body, so as to avoid a bright or blank spot on the diagnostic film.
  • You must inform the technologist, radiology nurse, and/or physician if you have allergies, are pregnant, breastfeeding, or are on medication.
  • Fasting is not required.
  • Doctor’s Prescription if any
  • Bring all documents related to medical history.
  • Carry Your ID Proof.
Reporting

Within 3-4 hours*

Test Price ₹ 250 ₹ 500
Frequently Asked Questions
FAQ

Related Tests

Health Packages

Early check ups are always better than delayed ones. Safety, precaution & care is depicted from the several health checkups. Here, we present simple & comprehensive health packages for any kind of testing to ensure the early prescribed treatment to safeguard your health.

view all health packages