toto
Visual Pathway and Hypothalamic Glioma Test Price In Delhi, India | Ganesh Diagnostic

Login

Visual Pathway and Hypothalamic Glioma Test Package at Affordable Price

visual pathway and hypothalamic glioma

Visual Pathway and Hypothalamic Glioma

Book Visual Pathway and Hypothalamic Glioma Appointment Online Near me at the best price in Delhi/NCR from Ganesh Diagnostic. NABL & NABH Accredited Diagnostic centre and Pathology lab in Delhi offering a wide range of Radiology & Pathology tests. Get Free Ambulance & Free Home Sample collection. 24X7 Hour Open. Call Now at 011-47-444-444 to Book your Visual Pathway and Hypothalamic Glioma at 50% Discount.

₹ 12000 ₹ 6000

Request A Call Back

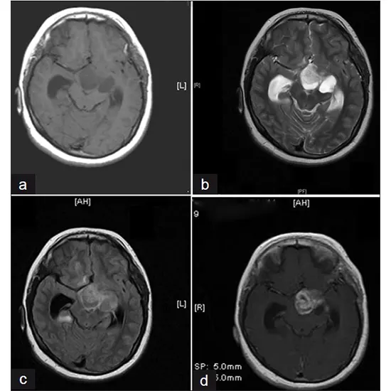
The visual pathway and hypothalamic glioma are related to the location of a type of brain tumor known as a glioma. The visual pathway refers to the anatomical pathway that relays visual information from the eyes to the brain, allowing us to see and perceive visual stimuli. The hypothalamus is a region of the brain that plays a key role in regulating various bodily functions, including hormone production, body temperature, appetite, and sleep.

Hypothalamic gliomas are tumors that arise in the hypothalamus, which is located at the base of the brain near the pituitary gland. These tumors can sometimes extend into or affect the visual pathway, which consists of several structures involved in vision, including the optic nerves, optic chiasm, and optic tracts.

When a glioma arises in or near the hypothalamus and affects the visual pathway, it can cause a range of symptoms that may include:

  • Visual changes
  • Endocrine dysfunction
  • Neurological symptoms such as headaches, seizures, changes in personality or behavior, weakness, or difficulty with coordination or balance.

Our Visual Pathway and Hypothalamic Glioma Test Package Includes:

 Bright (B Scan) Ultrasound  2000 1000
 MRI Head with orbit  8000 4000
 EEG  2000 1000
 Total  Price       12000 6000

Diagnosis of hypothalamic gliomas typically involves imaging studies such as magnetic resonance imaging (MRI) or computed tomography (CT) scans to visualize the tumor and its relationship to the surrounding structures, including the visual pathway and hypothalamus. A biopsy may be performed to confirm the diagnosis and determine the type and grade of the tumor.

Test Type Visual Pathway and Hypothalamic Glioma
Includes

Visual Pathway and Hypothalamic Glioma (Common Diseases)

Preparation
Reporting

Within 24 hours*

Test Price ₹ 6000 ₹ 12000
Frequently Asked Questions
FAQ

Related Tests

Health Packages

Early check ups are always better than delayed ones. Safety, precaution & care is depicted from the several health checkups. Here, we present simple & comprehensive health packages for any kind of testing to ensure the early prescribed treatment to safeguard your health.

view all health packages