toto toto slot
Subacute Sclerosing Panecephalitis | Test Price in Delhi | Ganesh Diagnostic

Login

Subacute Sclerosing Panecephalitis

Subacute Sclerosing Panecephalitis

Subacute Sclerosing Panecephalitis

Book Subacute Sclerosing Panecephalitis Appointment Online Near me at the best price in Delhi/NCR from Ganesh Diagnostic. NABL & NABH Accredited Diagnostic centre and Pathology lab in Delhi offering a wide range of Radiology & Pathology tests. Get Free Ambulance & Free Home Sample collection. 24X7 Hour Open. Call Now at 011-47-444-444 to Book your Subacute Sclerosing Panecephalitis at 50% Discount.

₹ 14530 ₹ 7265

Request A Call Back

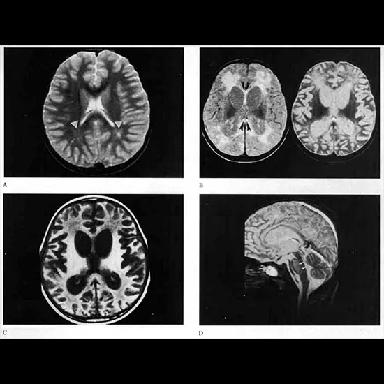
Subacute sclerosing panencephalitis (SSPE), moreover known as Dawson illness, may be an uncommon frame of dynamic brain irritation caused by a diligent disease with the measles infection. The condition essentially influences children, teenagers, and youthful grown-ups.

Etiology

SSPE is caused by the measles infection, a single-stranded RNA infection (of the paramyxoviridae family).

Pathogenesis

A huge number of nucleocapsids are delivered within the neurons and the glial cells. In these cells the viral qualities that encode envelope proteins have confined expression. As a result, infectious particles just like the M protein are not delivered, and the infection is able to outlive determinedly without inspiring an immune reaction. Inevitably the disease will lead to SSPE.

Signs and indications

SSPE is characterized by a history of essential measles disease, taken after by an asymptomatic period that keeps going 7 a long time on normal but can extend from 1 month to 27 a long time.

Causes

Ordinarily, the measles infection does not cause brain harm. Be that as it may, an unusual safe reaction to measles or, conceivably, certain mutant shapes of the infection may cause serious ailment and passing. This reaction leads to brain inflammation (swelling and aggravation) that will last for a long time.

Our Subacute Sclerosing Panecephalitis Test Package Includes:

CSF Examination Routine 530 265
Antibody Titer IgM 300 150
EEG 2200 1100
MRI Brain with contrast 11500 5750
Total Price 14530 7265

Test Type Subacute Sclerosing Panecephalitis
Includes

Subacute sclerosing Panecephalitis (Common Diseases)

Preparation
Reporting

Within 24 hours*

Test Price ₹ 7265 ₹ 14530
Frequently Asked Questions
FAQ

Related Tests

Health Packages

Early check ups are always better than delayed ones. Safety, precaution & care is depicted from the several health checkups. Here, we present simple & comprehensive health packages for any kind of testing to ensure the early prescribed treatment to safeguard your health.

view all health packages