Login

Sputum For AFB ZN Stain - Book Test at Low Cost

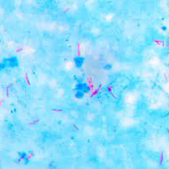
sputum for afb zn stain

Sputum For AFB ZN Stain

Book Sputum For AFB ZN Stain Appointment Online Near me at the best price in Delhi/NCR from Ganesh Diagnostic. NABL & NABH Accredited Diagnostic centre and Pathology lab in Delhi offering a wide range of Radiology & Pathology tests. Get Free Ambulance & Free Home Sample collection. 24X7 Hour Open. Call Now at 011-47-444-444 to Book your Sputum For AFB ZN Stain at 50% Discount.

₹ 700 ₹ 350

Request A Call Back

Tuberculosis is most often caused by AFB (Acid-fast bacilli) or the Mycobacterium species (TB). An AFB stain test is done to figure this out. Common symptoms include a cough that lasts for more than a week, blood in the sputum, tiredness, weight loss that can't be explained, loss of appetite, fever, and chills. Since TB is easy to spread through the air, this test helps find it and treat it quickly.

A negative AFB smear means that mycobacterium is not present. A mycobacterium infection is likely if an AFB smear is positive. The sample is grown in a lab again to confirm that the person has TB.

Why done? 

The Stain AFB (ZN Stain) test detects and diagnoses TB. It also monitors if the treatment for TB is working correctly.

Procedure: 

A sample collection cup should be used to get two ounces of urine early in the morning. Then, send it to the lab for analysis, where the lab technicians will evaluate it.

How does one prepare for the test? 

No preparation is needed.

Required Documents for Stain AFB (ZN Stain), Urine Test:

  • A doctor's prescription. 
  • A valid government ID.

Aftercare

No care is required.

The cost of a Sputum For AFB ZN Stain test in Delhi

The Sputum For AFB ZN Stain Test cost varies by region and facility. So constantly get tested at trustworthy diagnostic centers like Ganesh Diagnostic. It is staffed by trained and experienced professionals to assure patient and visitor safety.

Test Type Sputum For AFB ZN Stain
Includes

Sputum For AFB ZN Stain Test (Pathology Tests)

Preparation
Reporting

Within 24 hours*

Test Price ₹ 350 ₹ 700
Frequently Asked Questions
FAQ

Related Tests

Health Packages

Early check ups are always better than delayed ones. Safety, precaution & care is depicted from the several health checkups. Here, we present simple & comprehensive health packages for any kind of testing to ensure the early prescribed treatment to safeguard your health.

view all health packages