Login

Cerebral perfusion SPECT Scan Price and Procedure

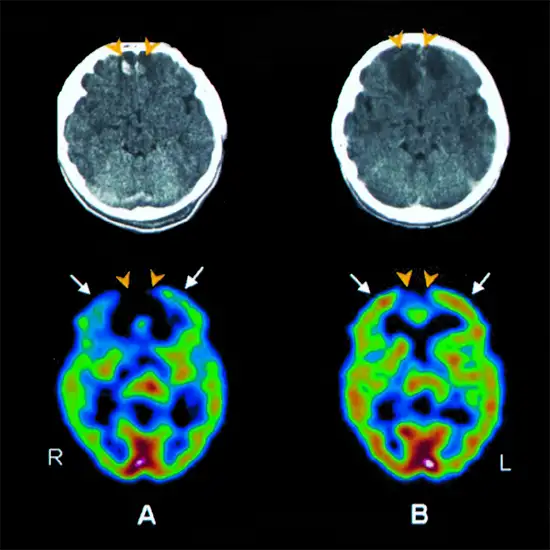
spect cerebral perfusion scan

SPECT Cerebral Perfusion Scan

Book SPECT Cerebral Perfusion Scan Appointment Online Near me at the best price in Delhi/NCR from Ganesh Diagnostic. NABL & NABH Accredited Diagnostic centre and Pathology lab in Delhi offering a wide range of Radiology & Pathology tests. Get Free Ambulance & Free Home Sample collection. 24X7 Hour Open. Call Now at 011-47-444-444 to Book your SPECT Cerebral Perfusion Scan at 20% Discount.

₹ 37500 ₹ 30000

Request A Call Back

A brain scan called a SPECT cerebral perfusion scan measures the amount of blood absorbed in specific regions of your brain. This can reveal details about the way your brain works. The many forms of brain perfusion scans are as follows.

Some diagnostic procedures involve radiotracers, which are radioactive compounds that release minute particles, such as single photon emission computed tomography (SPECT) or positron emission tomography (PET) scans.

Other Names:ECD Brain Scan, HMPAO Brain Scan

Why is SPECT Cerebral Perfusion Scan Done?

If your healthcare professional needs to know how the blood is flowing in your brain, you could need a brain perfusion scan. If you have a problem with dementia, your doctor might advise you to get this scan.

A brain perfusion scan may also be required if you need to have surgery on a vessel in your head or neck and your doctor needs to check the blood flow through your brain before the procedure.

Procedure for SPECT Cerebral Perfusion Scan

Your healthcare provider will inject a radiotracer into a vein in your arm during this radiotracer scan. (In other circumstances, the radiotracer may be inhaled as a gas.) The tiny radioactive particles released by the radiotracer will then be discovered by your provider using a specialized camera. The spread of the radioactive material throughout your brain can be observed via the camera. Which parts of your brain absorbed the majority of this radioactive chemical can be determined via a brain perfusion scan. This communicates to your doctor which parts of your brain were most active throughout the scan.

In addition to other types of common imaging tests, including a computed tomography (CT) scan, healthcare professionals frequently superimpose images of cerebral perfusion. As a result, they can compare the data from the two methodologies on a single image.

What are the risks of SPECT Cerebral Perfusion Scan?

The majority of people have no issues with their cerebral perfusion scan. Possible side effects from the injection's ingredients or minor discomfort at the injection site.

You may also be exposed to radiation if you undergo certain brain perfusion tests (including SPECT, PET, and CT). Although these trials only employ a little quantity of radiation, radiation is highly harmful in high doses and raises your lifelong chance of developing cancer.

The potential dangers of your brain perfusion scan should be discussed with your healthcare physician. Your risks may change depending on the health issues, the purpose of your scan, and the specific kind of brain perfusion scan you have.

Cost of SPECT Cerebral Perfusion Scan

The cost of SPECT cerebral perfusion scan near me in Delhi ranges from INR 19000 to INR 21000. 

Test Type SPECT Cerebral Perfusion Scan
Includes

SPECT Cerebral Perfusion Scan (Nuclear Medicine)

Preparation
Reporting

Within 4-6 hours*

Test Price ₹ 30000 ₹ 37500
Frequently Asked Questions
FAQ

Related Tests

Health Packages

Early check ups are always better than delayed ones. Safety, precaution & care is depicted from the several health checkups. Here, we present simple & comprehensive health packages for any kind of testing to ensure the early prescribed treatment to safeguard your health.

view all health packages