Login

Pineal Astrocytoma Test Package at Affordable Price

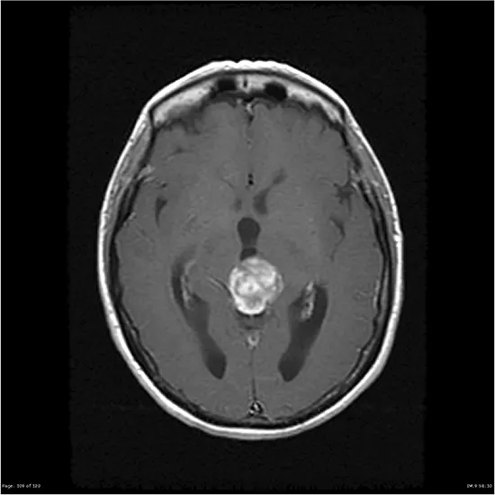
pineal astrocytoma

Pineal Astrocytoma

Book Pineal Astrocytoma Appointment Online Near me at the best price in Delhi/NCR from Ganesh Diagnostic. NABL & NABH Accredited Diagnostic centre and Pathology lab in Delhi offering a wide range of Radiology & Pathology tests. Get Free Ambulance & Free Home Sample collection. 24X7 Hour Open. Call Now at 011-47-444-444 to Book your Pineal Astrocytoma at 50% Discount.

₹ 43400 ₹ 21700

Request A Call Back

Pineal astrocytoma is a rare type of brain tumor that originates from astrocytes, which are a type of glial cell in the brain. The pineal gland is a small pinecone-shaped gland located deep within the brain, and pineal astrocytomas specifically arise in this region. Pineal astrocytomas are considered a type of glioma, which are tumors that arise from glial cells.

They are more commonly diagnosed in children and young adults, but can occur at any age. The exact cause of pineal astrocytoma is unknown, and there are no known risk factors associated with the development of this tumor.

The symptoms of pineal astrocytoma can vary depending on the size and location of the tumor, and may include headache, nausea and vomiting, visual disturbances, difficulty with eye movement, endocrine dysfunction, sleep disturbances, and behavioral or mood changes.

Our Pineal Astrocytoma Test Package Includes:

 MRI Brain with Contrast  11500 5750
 MRI Spectroscopy  8000 4000
 Brain PET Scan  23900 11950
 Total  Price       43400 21700

Diagnosis of pineal astrocytoma usually involves a combination of medical history, physical examination, neuroimaging studies (such as MRI or CT scan), and a brain biopsy for definitive diagnosis. Molecular testing for specific genetic mutations may also be performed to further characterize the tumor.

Test Type Pineal Astrocytoma
Includes

Pineal Astrocytoma  (Common Diseases)

Preparation
Reporting

Within 24 hours*

Test Price ₹ 21700 ₹ 43400
Frequently Asked Questions
FAQ

Related Tests

Health Packages

Early check ups are always better than delayed ones. Safety, precaution & care is depicted from the several health checkups. Here, we present simple & comprehensive health packages for any kind of testing to ensure the early prescribed treatment to safeguard your health.

view all health packages