Login

Periodic Acid Schiff - Book Test at Low Cost

periodic acid schiff test

Periodic Acid Schiff

Book Periodic Acid Schiff Appointment Online Near me at the best price in Delhi/NCR from Ganesh Diagnostic. NABL & NABH Accredited Diagnostic centre and Pathology lab in Delhi offering a wide range of Radiology & Pathology tests. Get Free Ambulance & Free Home Sample collection. 24X7 Hour Open. Call Now at 011-47-444-444 to Book your Periodic Acid Schiff

Request A Call Back

Book Periodic acid-Schiff (PAS) Test at the best price in Delhi NCR, India from GDIC (Ganesh Diagnostic & Imaging Centre). GDIC is a NABL Accredited Pathology lab in Delhi offering a wide range of lab testing services.

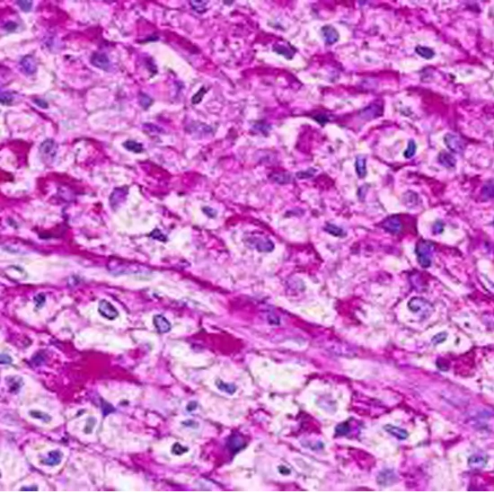
What is Periodic acid-Schiff (PAS) Test?

Periodic acid-Schiff (PAS) staining is a method for detecting polysaccharides like glycogen and muco substances like glycoproteins, glycolipids, and mucins in tissues.

Why it is done?

The PAS stain is used to distinguish basement membranes, fungus secreting adenocarcinoma from undifferentiated squamous cell carcinoma, and muco substances secreted from various organ epithelia. A standard stain for biopsies of the liver and kidney.

What is the procedure for Periodic acid-Schiff (PAS) Test?

Need to provide 2ml whole blood or 2ml bone marrow for the test.

How does one prepare for the test? 

No preparation is needed.

Required Documents for

  • * A doctor's prescription. 
  • * A valid government ID.

After Care: 

No care is required.

The Cost Of Periodic acid-Schiff (PAS) Test In Delhi: 

The Periodic acid-Schiff (PAS) Test costs vary by region and facility. So, get tested at trustworthy diagnostic centre like Ganesh Diagnostic. Training and experienced professionals are staffed to assure patient and visitor safety.

Test Type Periodic Acid Schiff
Includes

Periodic Acid Schiff (PAS) Test (Pathology)

Preparation
Reporting

Within 24 hours*

Test Price
Frequently Asked Questions
FAQ

Related Tests

Health Packages

Early check ups are always better than delayed ones. Safety, precaution & care is depicted from the several health checkups. Here, we present simple & comprehensive health packages for any kind of testing to ensure the early prescribed treatment to safeguard your health.

view all health packages