Login

PAS Stain, Blood/Bone Marrow Test Cost & Procedure

PAS Stain, Blood/Bone Marrow

PAS (Periodic Acid Schiff) Stain, Blood/Bone Marrow

Book PAS (Periodic Acid Schiff) Stain, Blood/Bone Marrow Appointment Online Near me at the best price in Delhi/NCR from Ganesh Diagnostic. NABL & NABH Accredited Diagnostic centre and Pathology lab in Delhi offering a wide range of Radiology & Pathology tests. Get Free Ambulance & Free Home Sample collection. 24X7 Hour Open. Call Now at 011-47-444-444 to Book your PAS (Periodic Acid Schiff) Stain, Blood/Bone Marrow

Request A Call Back

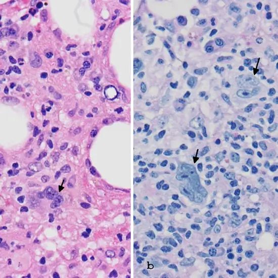
Periodic acid Schiff (PAS) staining is an immunohistochemical method employed on biopsies and also as a diagnostic device for blood specimens. Polysaccharides for example glycogen, glycoproteins, and glycolipids dye bright magenta, establishing it manageable to tick off positive and negative cells within the tissue itself.

Which leukemia is PAS positive?

One existed with mixed lineage. The PAS positivity, characterized by the existence of blocks or coarse granules in 5% or additional of the blasts, was established in 15 of 29 lymphoblastic leukemias and 4 of the myeloblastic leukemias

Significance and Uses of Periodic Acid-Schiff (PAS) Dye

PAS enables a demonstration of glycogen, cellulose, and starch. This is helpful to notice glycogen deposits when glycogen storage disorder is doubted. The basement membrane of various tissues may also be pictured through the PAS pigment.

What is PAS in leukemia?

Routine Romanowsky dyes of bone marrow practices have been the ideal procedure for the determination of acute leukemia. Two supplementary dyes, peroxidase and Periodic Acid Schiff (PAS) support distinguishing acute lymphocytic leukemia (ALL) and nonlymphocytic leukemia.

PAS staining indicates

Periodic acid–Schiff (PAS) is a staining procedure utilized to see polysaccharides for example glycogen, and mucosubstances like glycoproteins, glycolipids, and mucin secretion from tissues.

Disorders noticed with PAS-positive

Periodic acid-Schiff (PAS)-positive sediments have been indicated in the central nervous system (CNS) of individuals who possess a vast assortment of neurodegenerative diseases comprising Alzheimer's disorder, presenile dementia, Parkinson's disorder, diabetes mellitus, myoclonic epilepsy, and cerebral palsy.

When is periodic acid-Schiff used?

The periodic acid-Schiff (PAS) dyeing method is most usually operated in the histology laboratory to notice glycogen deposits in the liver when glycogen storage disorder is doubted. Glycogen granules may also be noticeable in malignancy of the bladder, kidney, ovary, pancreas, and lung.

How do you utilize PAS stain?

  • Technique and steps:
  • Take Deparaffinize and hydrate water.
  • Oxidize in 0.5% periodic acid-base solution for 5 minutes.
  • Wash off in distilled water.
  • Spot in Schiff reagent for 15 minutes unit will become light pink hue during this phase.
  • Rinse in lukewarm tap water for 5 minutes (Instantly prepared slide turns dark pink hue).

Test Type PAS (Periodic Acid Schiff) Stain, Blood/Bone Marrow
Includes

PAS (Periodic Acid Schiff) Stain, Blood/Bone Marrow Test (Pathology Lab)

Preparation
Reporting

Within 24 hours*

Test Price
Frequently Asked Questions
FAQ

Related Tests

Health Packages

Early check ups are always better than delayed ones. Safety, precaution & care is depicted from the several health checkups. Here, we present simple & comprehensive health packages for any kind of testing to ensure the early prescribed treatment to safeguard your health.

view all health packages