Login

Papillary Carcinoma Of Breast Package - Book at an Affordable Price

papillary carcinoma of breast package package test

Papillary Carcinoma Of Breast Package

Book Papillary Carcinoma Of Breast Package Appointment Online Near me at the best price in Delhi/NCR from Ganesh Diagnostic. NABL & NABH Accredited Diagnostic centre and Pathology lab in Delhi offering a wide range of Radiology & Pathology tests. Get Free Ambulance & Free Home Sample collection. 24X7 Hour Open. Call Now at 011-47-444-444 to Book your Papillary Carcinoma Of Breast Package at 50% Discount.

₹ 55900 ₹ 27950

Request A Call Back

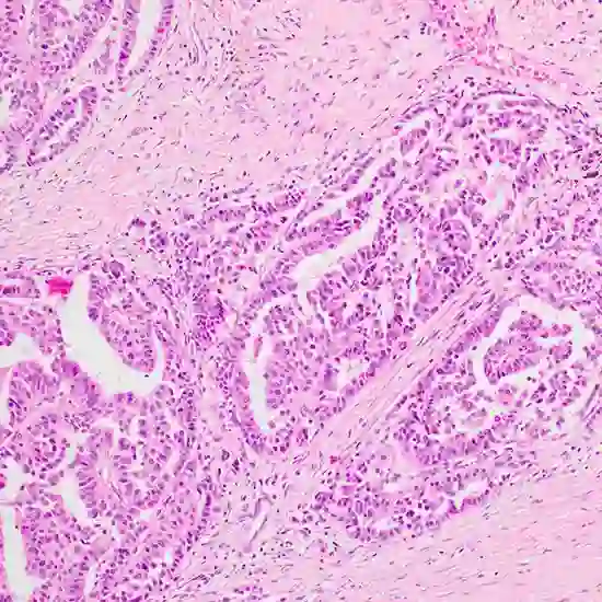
Papillary carcinoma of the breast is a rare type of breast cancer that is characterized by the presence of finger-like projections or papillae in the tumor cells when viewed under a microscope. Papillary carcinoma accounts for only a small percentage of all breast cancers, typically less than 1-2% of breast malignancies.

Papillary carcinoma of the breast can occur in both pre-menopausal and post-menopausal women, although it is more commonly diagnosed in older women. It can also occur in men, although it is extremely rare. Papillary carcinoma is generally considered to be a low-grade malignancy, meaning it tends to have a relatively indolent clinical course and is associated with a good prognosis.

Symptoms of papillary carcinoma of the breast may include a palpable lump in the breast, changes in breast size or shape, skin changes over the breast, nipple discharge, or changes in the appearance of the nipple or areola. However, some papillary carcinomas may be asymptomatic and may be detected incidentally through imaging studies or biopsies.

Our Papillary carcinoma of the breast test package includes:

 HER2 Immunochemistry  9500 4750
 Mammography X-Ray both side breast  3500 1750
 Breast Ultrasound   3000 1500
 MRI Breast   16000 8000
 Whole Body PET Scan  23900 11950
 Total  Price       55900 27950

Diagnosis of papillary carcinoma typically involves a combination of physical examination, imaging tests (such as mammography, ultrasound, or MRI), and biopsy to confirm the presence of papillary carcinoma cells. Papillary carcinoma is typically characterized by the presence of finger-like projections or papillae lined by tumor cells, which can be seen under a microscope.

Test Type Papillary Carcinoma Of Breast Package
Includes

Papillary Carcinoma of Breast Package (Common Diseases)

Preparation
Reporting

Within 24 hours*

Test Price ₹ 27950 ₹ 55900
Frequently Asked Questions
FAQ

Related Tests

Health Packages

Early check ups are always better than delayed ones. Safety, precaution & care is depicted from the several health checkups. Here, we present simple & comprehensive health packages for any kind of testing to ensure the early prescribed treatment to safeguard your health.

view all health packages