toto toto slot
Optic Nerve Glioma | Test Price In Delhi | Cost Near Me, India | Ganesh Diagnostic

Login

Optic Nerve Glioma Test Package at Affordable Price

optic nerve glioma

Optic Nerve Glioma

Book Optic Nerve Glioma Appointment Online Near me at the best price in Delhi/NCR from Ganesh Diagnostic. NABL & NABH Accredited Diagnostic centre and Pathology lab in Delhi offering a wide range of Radiology & Pathology tests. Get Free Ambulance & Free Home Sample collection. 24X7 Hour Open. Call Now at 011-47-444-444 to Book your Optic Nerve Glioma at 50% Discount.

₹ 14100 ₹ 7050

Request A Call Back

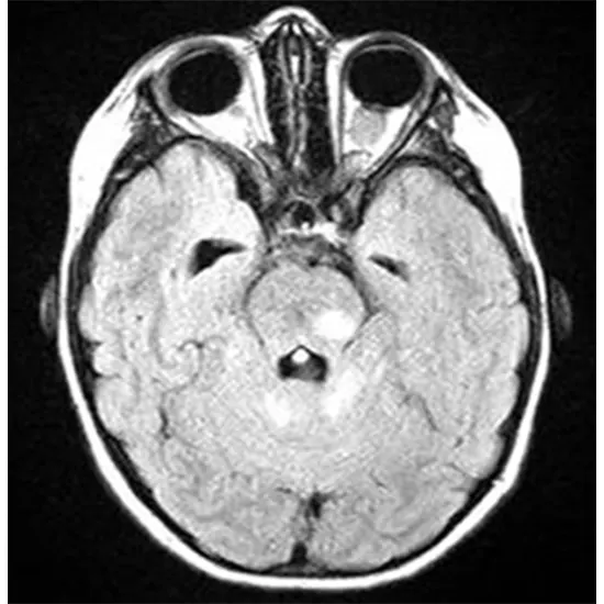
Optic nerve glioma, also known as optic pathway glioma, is a rare type of brain tumor that originates in the cells of the optic nerve or the optic pathway, which is the pathway that transmits visual information from the eyes to the brain. Optic nerve gliomas are most commonly diagnosed in children and adolescents, although they can also occur in adults.

Optic nerve gliomas are typically slow-growing tumors that may or may not cause symptoms. When they do cause symptoms, they can present with various visual disturbances, which may include:

  • Vision loss or blurred vision in one or both eyes
  • Proptosis (bulging of the eye)
  • Nystagmus (involuntary eye movement)
  • Strabismus (crossed or misaligned eyes)
  • Pale or swollen optic disc (the part of the optic nerve that can be visualized at the back of the eye) on eye examination

Our Optic Nerve Glioma Test Package Includes:

 MRI Brain Scan 8000 4000
 CT Head with Orbit 6100 3050
 Total  Price       14100 7050

Diagnosis of optic nerve glioma usually involves a thorough eye examination, including dilated fundus examination to visualize the optic disc, as well as imaging studies such as magnetic resonance imaging (MRI) or computed tomography (CT) scan to determine the location, size, and extent of the tumor. Biopsy may be needed to confirm the diagnosis and determine the specific type of glioma.

Test Type Optic Nerve Glioma
Includes

Optic Nerve Glioma (Common Diseases)

Preparation
Reporting

Within 24 hours*

Test Price ₹ 7050 ₹ 14100
Frequently Asked Questions
FAQ

Related Tests

Health Packages

Early check ups are always better than delayed ones. Safety, precaution & care is depicted from the several health checkups. Here, we present simple & comprehensive health packages for any kind of testing to ensure the early prescribed treatment to safeguard your health.

view all health packages