Login

Oligodendroglioma Test Package at Affordable Price

oligodendroglioma

Oligodendroglioma

Book Oligodendroglioma Appointment Online Near me at the best price in Delhi/NCR from Ganesh Diagnostic. NABL & NABH Accredited Diagnostic centre and Pathology lab in Delhi offering a wide range of Radiology & Pathology tests. Get Free Ambulance & Free Home Sample collection. 24X7 Hour Open. Call Now at 011-47-444-444 to Book your Oligodendroglioma at 50% Discount.

₹ 51400 ₹ 25700

Request A Call Back

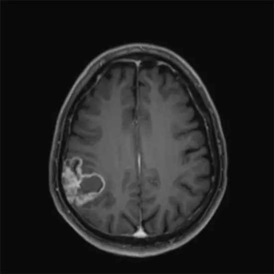
Oligodendroglioma is a type of brain tumor that arises from oligodendrocytes, which are specialized cells that produce the myelin sheath, a protective covering around nerve fibers in the central nervous system. Oligodendrogliomas are considered a type of glioma, which are tumors that originate from glial cells in the brain.

Oligodendrogliomas are relatively rare and account for approximately 2-5% of all primary brain tumors. They typically occur in adults, with a peak incidence in the 4th to 5th decades of life.

The symptoms of oligodendroglioma can vary depending on the location and size of the tumor in the brain. Common symptoms may include headache, seizures, focal neurological deficits such as weakness, numbness, or speech difficulties, changes in vision, cognitive or memory changes, and personality or mood changes.

Our Oligodendroglioma Test Package Includes:

 MRI Brain with Contrast   11500 5750
 Functional MRI        8000 4000
 MRI Spectroscopy      8000 4000
 Brain PET Scan 23900 11950
 Total  Price       51400 25700

Diagnosis of oligodendroglioma usually involves a combination of medical history, physical examination, neuroimaging studies (such as MRI or CT scan), and a brain biopsy for definitive diagnosis. Molecular testing for specific genetic mutations, such as mutations in the IDH1 and IDH2 genes, is often performed to help classify the tumor and guide treatment decisions. 

Test Type Oligodendroglioma
Includes

Oligodendroglioma (Common Diseases)

Preparation
Reporting

Within 24 hours*

Test Price ₹ 25700 ₹ 51400
Frequently Asked Questions
FAQ

Related Tests

Health Packages

Early check ups are always better than delayed ones. Safety, precaution & care is depicted from the several health checkups. Here, we present simple & comprehensive health packages for any kind of testing to ensure the early prescribed treatment to safeguard your health.

view all health packages