toto toto slot
MRI Trigeminal Neuralgia Protocol | Test Price in Delhi | Ganesh Diagnostic

Login

MRI Trigeminal Neuralgia Protocol - Test, Procedure and Cost

mri trigeminal neuralgia protocol

MRI Trigeminal Neuralgia Protocol

Book MRI Trigeminal Neuralgia Protocol Appointment Online Near me at the best price in Delhi/NCR from Ganesh Diagnostic. NABL & NABH Accredited Diagnostic centre and Pathology lab in Delhi offering a wide range of Radiology & Pathology tests. Get Free Ambulance & Free Home Sample collection. 24X7 Hour Open. Call Now at 011-47-444-444 to Book your MRI Trigeminal Neuralgia Protocol at 50% Discount.

₹ 24000 ₹ 12000

Request A Call Back

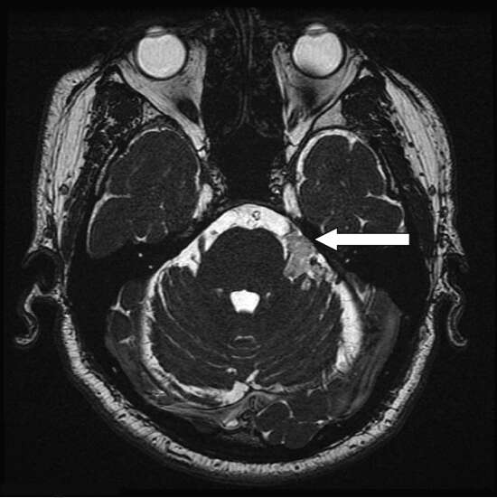
MRI protocol for trigeminal neuralgia is a group of MRI sequences which are put together to best address a possible cause for the condition like pressure on the trigeminal nerve.

Why is MRI protocol for trigeminal neuralgia done?

  • To diagnose an enlarged looping artery or vein pressing on the trigeminal nerve at the cerebellopontine angle.
  • To diagnose multiple sclerosis
  • To diagnose cerebellopontine tumours.

Test Parameters

Description

MRI Brain

The MRI is considered to be the safe and a painless process which in turn uses the magnets and the radio waves to create detailed picture of your brain. Unlike the CAT scan, an MRI doesn't use any radiation.

3D FIESTA

This is a Fast imaging technique that employs the steady-state acquisition (FIESTA) in 3D .The MRI is also using any ultra short repetition time along with echo time to also obtain this very fast acquisition times.

Localized MRA

Magnetic resonance angiography looks specifically at body's blood vessels. Unlike the traditional angiogram, this would require you to insert the catheter in the localized part of the brain in this case.

The magnetic resonance angiographies are also far less invasive and even as a less painful test.

How is the MRI Protocol for Trigeminal Neuralgia Done?

MRI radiologist will explain the procedure of MRI protocol for trigeminal neuralgia.

How Does one Prepare for MRI Protocol for Trigeminal Neuralgia?

  • Before the test, inform your doctor/radiologist/technologist if you are allergic to anything
  • Before the test, inform your doctor/radiologist/technologist if you are  pregnant or any recent surgeries.
  • Before the test, remove jewellery or metal objects in your body.

Required documents

  • Doctor's prescription with sign and stamp.
  • Medical history related documents
  • Valid ID proof.

After Care

MRI Radiologist will guide you if any precaution required as per condition.

Cost of MRI Protocol for Trigeminal Neuralgia

The cost of MRI protocol for trigeminal neuralgia in Delhi range from INR 6000 to INR 48000. 

Book MRI Trigeminal Neuralgia Protocol Online at Ganesh Diagnostic

To provide hassle-free diagnostic service we also provide online service to book your appointment. At Ganesh Diagnostic, you can book MRI Trigeminal Neuralgia Protocol test by scheduling your appointment. Quick, non-invasive MRI appointment is available for detailed insights into your body. Schedule now for a comprehensive health assessment. We are 24/7 Available at your service.

Test Type MRI Trigeminal Neuralgia Protocol
Includes

MRI Trigeminal Neuralgia Protocol (MRI Scans)

Preparation
  • Remove the object that contains Metal, such as Jewellery, Hair Clips, Watch, Rings, Any other similar object so as to avoid a bright or blank spot on the diagnostic film.  
  • You must inform the technologist, radiology nurse and/or physician if you have allergies, are pregnant or are nursing. 
  • No fasting required 
  • Carry Your ID Proof
Reporting

Within 4-6 hours*  

Test Price ₹ 12000 ₹ 24000
Frequently Asked Questions
FAQ

Related Tests

Health Packages

Early check ups are always better than delayed ones. Safety, precaution & care is depicted from the several health checkups. Here, we present simple & comprehensive health packages for any kind of testing to ensure the early prescribed treatment to safeguard your health.

view all health packages