Login

MRI Sella With Contrast - Test, Procedure & Cost

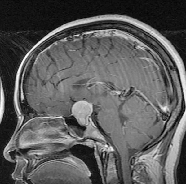
MRI Sella With Contrast

MRI Sella With Contrast

Book MRI Sella With Contrast Appointment Online Near me at the best price in Delhi/NCR from Ganesh Diagnostic. NABL & NABH Accredited Diagnostic centre and Pathology lab in Delhi offering a wide range of Radiology & Pathology tests. Get Free Ambulance & Free Home Sample collection. 24X7 Hour Open. Call Now at 011-47-444-444 to Book your MRI Sella With Contrast at 50% Discount.

₹ 16000 ₹ 8000

Request A Call Back

The MRI Sella with contrast helps to diagnose accurately the surrounding tissues and the sella depression in the pituitary gland.

Why done?

It is done to diagnose the calcification of the sella or pituitary gland, sella syndrome, hypothyroidism, diabetes insipidus, and more.

Procedure

When you are under, the MRI scan uses radio waves and magnetic fields to get intensive and precise images. You will be injected with gadolinium contrast into your veins by radiologists to improve the quality of the images during the scans.

How one is prepared for the test?

Firstly, no need to fast, you can take your food and medication but let your doctor know about your medication. Also, let your doctor know about any implants if you have any. No metals are allowed during the scan and you might be asked to change into a hospital gown.

Required documents:

  • Doctor's prescription slip
  • Documents related to medical history
  • Any valid ID proof for verification

After Care:

After your scans take a rest as you have been injected with contrast. Drink water to keep your body hydrated and flush nuclear material. If any health concern arises consult your doctor.

Cost of MRI Sella With Contrast

This test costs around Rs.8,000-16,000/-. Reach a certified diagnostic centre like Ganesh Diagnostic as early as possible for best results.

Book MRI Sella With Contrast Online at Ganesh Diagnostic

To provide hassle-free diagnostic service we also provide online service to book your appointment. At Ganesh Diagnostic, you can book MRI Sella With Contrast test online by scheduling your appointment. Quick, non-invasive MRI appointment is available for detailed insights into your body. Schedule now for a comprehensive health assessment. We are 24/7 Available at your service.

Test Type MRI Sella With Contrast
Includes

MRI Sella With Contrast (MRI Scan)

Preparation
  • Remove the object that contains Metal, such as Jewellery, Hair Clips, Watches, Rings, or any other similar object.
  • You must inform the technologist, radiology nurse, and/or physician if you have allergies, are pregnant, breastfeeding, or are on medication.
  • Minimum 4 hours fasting required.
  • You can drink water.
  • Latest (1 Week) Serum Creatinine or KFT report required.
  • Doctor’s Prescription.
  • Bring all documents related to medical history.
  • Carry your ID Proof.
Reporting

Within 4-6 hours*

Test Price ₹ 8000 ₹ 16000
Frequently Asked Questions
FAQ

Related Tests

Health Packages

Early check ups are always better than delayed ones. Safety, precaution & care is depicted from the several health checkups. Here, we present simple & comprehensive health packages for any kind of testing to ensure the early prescribed treatment to safeguard your health.

view all health packages