Login

MRI Screening Of SI Joint - Test, Procedure & Cost

mri screening of si joint

MRI Screening Of SI Joint

Book MRI Screening Of SI Joint Appointment Online Near me at the best price in Delhi/NCR from Ganesh Diagnostic. NABL & NABH Accredited Diagnostic centre and Pathology lab in Delhi offering a wide range of Radiology & Pathology tests. Get Free Ambulance & Free Home Sample collection. 24X7 Hour Open. Call Now at 011-47-444-444 to Book your MRI Screening Of SI Joint at 50% Discount.

₹ 5000 ₹ 2500

Request A Call Back

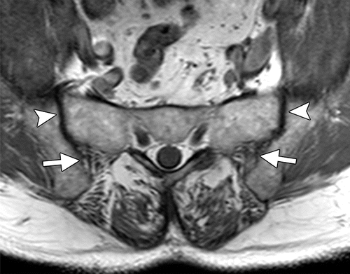
What is MRI Screening Of SI Joint?

An MRI scan of the sacroiliac joints displays the sacroiliac joints, which are the joints that connect the central sacrum bone to the ilium bones of the pelvis on each side. An MRI of the sacroiliac joint can detect early stages of joint inflammation that may not be detectable on an x-ray.

Why is MRI Screening Of the SI Joint done? 

An MRI Scan SI test is needed to discover sacroiliac dysfunction that causes significant lower back pain.

What is the procedure for the SACROILIAC (SI) Joint Screening MRI Scan Test?

The MRI radiologist will explain. 

How does one prepare for the test? 

  • Notify your technician of metallic implants such as surgical staples, clips, or pacemakers. You may also need to remove metal objects such as jewelry or watches.
  • If you are pregnant, notify your technician, as radiation may harm the baby.

After Care: 

No care is required.

What is the Cost of a Sacroiliac Joints MRI Scan test in Delhi?

The cost of the Magnetic Resonance Imaging (MRI) for Screening SI Joints Test in Delhi ranges between INR 2,500 to 5,000.

How to Book MRI Screening Of SI Joint Online at Ganesh Diagnostic

To provide hassle-free diagnostic service we also provide online service to book your appointment. At Ganesh Diagnostic, you can book an MRI Screening Of SI Joint test by scheduling your appointment. Quick, non-invasive MRI appointment is available for detailed insights into your body. Schedule now for a comprehensive health assessment. We are 24/7 Available at your service.

Test Type MRI Screening Of SI Joint
Includes

MRI Screening of SI Joint (MRI Scan)

Preparation
  • Remove the object that contains Metal, such as Jewellery, Hair Clips, watches, Rings, or any other similar object.
  • You must inform the technologist, radiology nurse, and/or physician if you have allergies, are pregnant, breastfeeding, or are on medication.
  • No fasting is required.
  • Doctor’s Prescription.
  • Bring all documents related to medical history.
  • Carry Your ID Proof.
Reporting

Within 4-6 hours*

Test Price ₹ 2500 ₹ 5000
Frequently Asked Questions
FAQ

MRI (Magnetic Resonance Imaging) screening of the SI joint is a non-invasive radiology test used to evaluate the condition of the SI joint and surrounding tissue. MRI Screening Of SI Joint is done to look for the condition of the SI joint and surrounding area.

Do not avoid the symptoms related to SI joint abnormalities, go for screening to avoid any delay in diagnosis and treatment. There are no such risks associated with an MRI Screening Of SI Joint when conducted in the presence of a healthcare expert and at a good healthcare facility with proper guidelines and protocols.

MRI Screening Of SI Joint is a painless procedure, but some patients may feel uncomfortable with the test.

Patients can visit Ganesh's diagnostic website or call at 011-47-444-444 / 011-47-333-333 to download the MRI Screening Of SI joint report online.

 

MRI Screening Of SI Joint is safe but in some rare cases of contrast, patients may feel side effects like rash, nausea and vomiting.

 

Related Tests

Health Packages

Early check ups are always better than delayed ones. Safety, precaution & care is depicted from the several health checkups. Here, we present simple & comprehensive health packages for any kind of testing to ensure the early prescribed treatment to safeguard your health.

view all health packages