Login

MRI Screening Of Parotid - Test, Procedure & Cost

mri screening of parotid test

MRI Screening Of Parotid

Book MRI Screening Of Parotid Appointment Online Near me at the best price in Delhi/NCR from Ganesh Diagnostic. NABL & NABH Accredited Diagnostic centre and Pathology lab in Delhi offering a wide range of Radiology & Pathology tests. Get Free Ambulance & Free Home Sample collection. 24X7 Hour Open. Call Now at 011-47-444-444 to Book your MRI Screening Of Parotid at 50% Discount.

₹ 9000 ₹ 4500

Request A Call Back

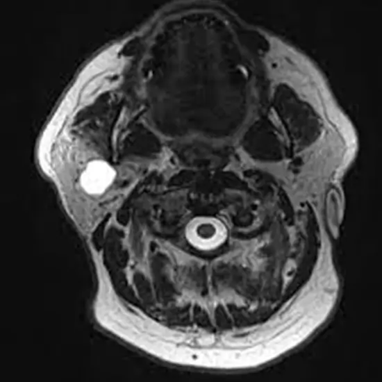
The salivary gland can be imaged in great resolution using MRI Screening of the Parotid Gland. The test is used to assess the parotid gland mass, which demonstrates tumor extension, tumor contour, signal features, and the relationship between the tumor and the facial nerve.

Why is MRI Screening of Parotid Done?

Screening of the Parotid is recommended to Identify salivary stones, mumps, and parotitis, an infection of the parotid gland. It is also helpful in determining whether calculi or compression have blocked the salivary duct.

This procedure helps in detecting lesions, tumors, and cysts of salivary glands and also in Identifying the eating disorder if your parotid gland is swollen, blocked or inflamed.

What is the procedure for MRI Screening of Parotid?

MRI Radiologist will explain to you the procedure for MRI Screening of Parotid.

Risk Factors

No risk is there in MRI Screening of Parotid.

Cost of MRI Screening of Parotid

The cost of an MRI Screening of Parotid near me in Delhi ranges from INR 1750 to INR 9000.

Book MRI Screening Of Parotid Online at Ganesh Diagnostic

To provide hassle-free diagnostic service we also provide online service to book your appointment. At Ganesh Diagnostic, you can book MRI Screening Of Parotid Test online by scheduling your appointment. Quick, non-invasive MRI appointment is available for detailed insights into your body. Schedule now for a comprehensive health assessment. We are 24/7 Available at your service.

Test Type MRI Screening Of Parotid
Includes

MRI Screening of Parotid Test (MRI Test)

Preparation
Reporting

Within 4-6 hours*

Test Price ₹ 4500 ₹ 9000
Frequently Asked Questions
FAQ

Related Tests

Health Packages

Early check ups are always better than delayed ones. Safety, precaution & care is depicted from the several health checkups. Here, we present simple & comprehensive health packages for any kind of testing to ensure the early prescribed treatment to safeguard your health.

view all health packages