Login

MRI Screening Of Orbit - Test, Procedure & Cost

mri screening of orbit

MRI Screening Of Orbit

Book MRI Screening Of Orbit Appointment Online Near me at the best price in Delhi/NCR from Ganesh Diagnostic. NABL & NABH Accredited Diagnostic centre and Pathology lab in Delhi offering a wide range of Radiology & Pathology tests. Get Free Ambulance & Free Home Sample collection. 24X7 Hour Open. Call Now at 011-47-444-444 to Book your MRI Screening Of Orbit at 50% Discount.

₹ 5000 ₹ 2500

Request A Call Back

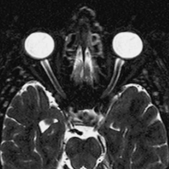
What is MRI Screening of Orbit?

An orbit is a bony cavity that your eye, nerves, muscles, fat, and other soft tissues occupy. MRI scans of the orbits measure the size of masses inside or behind the eye globe. It provides a resolution of soft tissue and explains orbital space for masses.

Why is  MRI Screening of Orbit done? 

Orbit MRI scans find tumours, infections, and long-term diseases that affect the structures in and around the orbits. It is also used to find out if someone has Grave's disease.

What is the procedure for the Orbit MRI Scan Test?

The MRI radiologist will explain. 

How does one prepare for the test? 

  • Notify your technician of metallic implants such as surgical staples, clips, or pacemakers. You may also need to remove metal objects such as jewellery or watches.
  • If you are pregnant, notify your technician, as radiation may harm the baby.

After Care: 

No care is required.

What is the Cost of an MRI Scan of the Orbits / Eye Test in Delhi?

The Magnetic Resonance Imaging (MRI) cost for the Orbit Scan Test in Delhi starts at INR 2500 and goes up to INR 5000.

How to Book MRI Screening Of Orbit Online at Ganesh Diagnostic?

To provide hassle-free diagnostic service we also provide online service to book your appointment. At Ganesh Diagnostic, you can book an MRI Screening Of Orbit test by scheduling your appointment. Quick, non-invasive MRI appointment is available for detailed insights into your body. Schedule now for a comprehensive health assessment. We are available 24/7 at your service.

Test Type MRI Screening Of Orbit
Includes

MRI Screening of Orbit (MRI Scan)

Preparation
  • Remove the object that contains Metal, such as Jewellery, Hair Clips, watches, Rings, or any other similar object.
  • You must inform the technologist, radiology nurse, and/or physician if you have allergies, are pregnant, breastfeeding, or are on medication.
  • No fasting is required.
  • Doctor’s Prescription.
  • Bring all documents related to medical history.
  • Carry Your ID Proof.
Reporting

Within 4-6 hours*

Test Price ₹ 2500 ₹ 5000
Frequently Asked Questions
FAQ

MRI (Magnetic Resonance Imaging) screening of the Orbit is a non-invasive radiology test used to evaluate the condition of the Orbit and surrounding tissue. MRI Screening of Orbit is done to look for its condition and surrounding area.

Do not avoid the symptoms related to Orbit abnormalities, go for screening to avoid any delay in diagnosis and treatment. There are no such risks associated with an MRI Screening of Orbit when conducted in the presence of a healthcare expert and at a good healthcare facility with proper guidelines and protocols.

MRI Screening of Orbit is a painless procedure, but some patients may feel uncomfortable with the test.

Patients can visit Ganesh's diagnostic website or call at 011-47-444-444 / 011-47-333-333 to download the MRI Screening of Orbit report online.

 

MRI Screening of Orbit is safe but in some rare cases of contrast, patients may feel side effects like rash, nausea and vomiting.

 

Related Tests

Health Packages

Early check ups are always better than delayed ones. Safety, precaution & care is depicted from the several health checkups. Here, we present simple & comprehensive health packages for any kind of testing to ensure the early prescribed treatment to safeguard your health.

view all health packages