toto
MRI Screening Of KUB | Test Price in Delhi | Ganesh Diagnostic

Login

MRI Screening Of KUB - Test, Procedure & Cost

mri screening of kub test

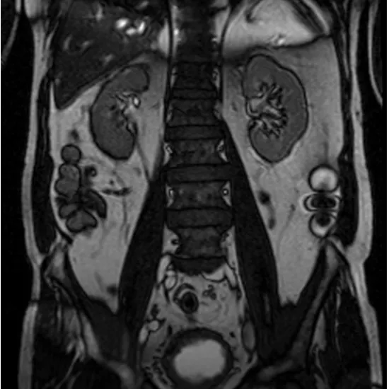
MRI Screening Of KUB

Book MRI Screening Of KUB Appointment Online Near me at the best price in Delhi/NCR from Ganesh Diagnostic. NABL & NABH Accredited Diagnostic centre and Pathology lab in Delhi offering a wide range of Radiology & Pathology tests. Get Free Ambulance & Free Home Sample collection. 24X7 Hour Open. Call Now at 011-47-444-444 to Book your MRI Screening Of KUB at 50% Discount.

₹ 9000 ₹ 4500

Request A Call Back

Magnetic resonance is simply referred to as an MRI. Strong radio waves and magnetic fields are used in this clinical scanning procedure to produce detailed images of the urinary system (comprising the kidney, ureter, and bladder). MRI Screening of KUB  helps identify the primary causes of stomach discomfort. This is a great way to gather broad information on someone's urinary tract, including its type, length, and location.

Why is MRI Screening of KUB Done?

  • Doctors need to perform this scan to identify any blockages or potential obstructions in the kidneys, urethra, and bladder.
  • Examine the potential cysts or tumors in your kidneys, ureters, and bladders that may be abnormal growths.
  • Identify the cause of the hemorrhage (blood in urine).
  • Look for abnormal fluid build-up in the ureter, bladder, and kidney areas.

What is the procedure for MRI Screening of KUB?

MRI Radiologist will explain to you the procedure for MRI Screening of KUB.

Risks/ Side Effects

No risks are there undergoing the MRI Screening of KUB.

Cost of MRI Screening of KUB

The cost of MRI Screening of KUB near me in Delhi ranges from INR 2500 to INR 9000.

Book MRI Screening Of KUB Online at Ganesh Diagnostic

To provide hassle-free diagnostic service we also provide online service to book your appointment. At Ganesh Diagnostic, you can book MRI Screening Of KUB Test online by scheduling your appointment. Quick, non-invasive MRI appointment is available for detailed insights into your body. Schedule now for a comprehensive health assessment. We are 24/7 Available at your service.

Test Type MRI Screening Of KUB
Includes

MRI Screening of KUB Test (MRI Test)

Preparation
Reporting

Within 4-6 hours*

Test Price ₹ 4500 ₹ 9000
Frequently Asked Questions
FAQ

Related Tests

Health Packages

Early check ups are always better than delayed ones. Safety, precaution & care is depicted from the several health checkups. Here, we present simple & comprehensive health packages for any kind of testing to ensure the early prescribed treatment to safeguard your health.

view all health packages