Login

MRI Screening Of Hip Joint - Test, Procedure & Cost

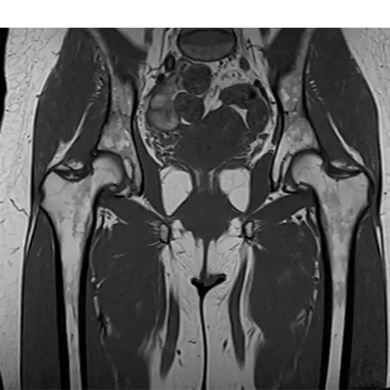
MRI Screening Of Hip Joint

MRI Screening Of Hip Joint

Book MRI Screening Of Hip Joint Appointment Online Near me at the best price in Delhi/NCR from Ganesh Diagnostic. NABL & NABH Accredited Diagnostic centre and Pathology lab in Delhi offering a wide range of Radiology & Pathology tests. Get Free Ambulance & Free Home Sample collection. 24X7 Hour Open. Call Now at 011-47-444-444 to Book your MRI Screening Of Hip Joint at 50% Discount.

₹ 6000 ₹ 3000

Request A Call Back

What is MRI Screening of the Hip Joint?

An MRI of the hip can tell you right away what's wrong, such as bursitis, strained or overworked hip muscles, joint pain, wear and tear on the head of the hip joint, and other movement restrictions. In these pictures, the doctor can see the hip joint, wear and tear (arthrosis), and other bone problems.

Why is an MRI Screening of the Hip Joint done?

It's essential to find out what's happening as soon as possible. Hip problems that don't go away are painful and tiring, and they can make it hard to get around. You might change how you walk (often without realizing it), leading to more complaints.

What is the procedure for the MRI Scan - Hip Joint Screening Test?

Patients must lie still during the MRI procedure.

How does one prepare for the test?

  • Tell your technician about surgical staples, clips, or pacemakers. You may need to remove jewellery and watches.
  • If you are pregnant, notify your technician, as radiation may harm the baby.

After Care:

No care is required.

What is the Cost of an MRI Scan Hip Joint Screening Test in Delhi?

The cost of Magnetic Resonance Imaging for Screening Hip Joints in Delhi varies between INR 3,000 and INR 6,000. 

How to Book MRI Screening Of Hip Joint Online at Ganesh Diagnostic?

To provide hassle-free diagnostic service we also provide online service to book your appointment. At Ganesh Diagnostic, you can book an MRI Screening Of Hip Joint test by scheduling your appointment. Quick, non-invasive MRI appointment is available for detailed insights into your body. Schedule now for a comprehensive health assessment. We are 24/7 Available at your service.

Test Type MRI Screening Of Hip Joint
Includes

MRI Screening Of Hip Joint (MRI Scans

Preparation
  • Remove the object that contains Metal, such as Jewellery, Hair Clips, watches, Rings, or any other similar object.
  • You must inform the technologist, radiology nurse, and/or physician if you have allergies, are pregnant, breastfeeding, or are on medication.
  • No fasting is required.
  • Doctor’s Prescription.
  • Bring all documents related to medical history.
  • Carry Your ID Proof.
Reporting

Within 4-6 hours* 

Test Price ₹ 3000 ₹ 6000
Frequently Asked Questions
FAQ

MRI (Magnetic Resonance Imaging) screening of the Hip Joint is a non-invasive radiology test used to evaluate the condition of the Hip Joint and surrounding tissue. MRI Screening Of the Hip Joint is done to look for Hip Joint conditions and the surrounding area.

Do not avoid the symptoms related to hip joint abnormalities, go for screening to avoid any delay in diagnosis and treatment. There are no such risks associated with an MRI Screening Of Hip Joint when conducted in the presence of a healthcare expert and at a good healthcare facility with proper guidelines and protocols.

MRI Screening Of Hip Joint is a painless procedure, but some patients may feel uncomfortable with the test if they have a fear of closed spaces.

Patients can visit Ganesh's diagnostic website or call at 011-47-444-444 / 011-47-333-333 to download the MRI Screening Of Hip Joint report online.

 

MRI Screening Of Hip Joint is safe but in some rare cases of contrast, patients may feel side effects like rash, nausea and vomiting.

 

Related Tests

Health Packages

Early check ups are always better than delayed ones. Safety, precaution & care is depicted from the several health checkups. Here, we present simple & comprehensive health packages for any kind of testing to ensure the early prescribed treatment to safeguard your health.

view all health packages