Login

MRI Screening Left Wrist - Test, Procedure & Cost

mri screening left wrist

MRI Screening Left Wrist

Book MRI Screening Left Wrist Appointment Online Near me at the best price in Delhi/NCR from Ganesh Diagnostic. NABL & NABH Accredited Diagnostic centre and Pathology lab in Delhi offering a wide range of Radiology & Pathology tests. Get Free Ambulance & Free Home Sample collection. 24X7 Hour Open. Call Now at 011-47-444-444 to Book your MRI Screening Left Wrist at 50% Discount.

₹ 5000 ₹ 2500

Request A Call Back

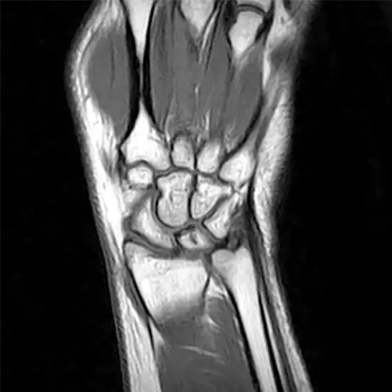
What is MRI Screening of Left Wrist?

An MRI of the left wrist joint is used to visualize the bones of the wrist joint and the soft tissues around it, such as tendons, ligaments, muscles, and blood vessels. The wrist joint comprises the ends of the forearm bones and eight small bones called carpal bones (radius and ulna).

Why is an MRI Screening of the Left Wrist done? 

The doctor orders this test to identify any broken or fractured bones in the wrist joint and any damage to the soft tissues such as ligaments, tendons, or surrounding muscles.

What is the procedure for the MRI Left Wrist Test?

The MRI radiologist will explain. 

How does one prepare for the test? 

  • Notify your technician of metallic implants such as surgical staples, clips, or pacemakers. You may also need to remove metal objects such as jewellery or watches.
  • If you are pregnant, notify your technician, as radiation may harm the baby.

After Care: 

No care is required.

What is the Cost of an MRI Scan Left Wrist Test in Delhi? 

The cost of the Magnetic resonance imaging (MRI) scan of the left wrist Test in Delhi starts at INR 5,000.

How to Book MRI Screening Left Wrist Online at Ganesh Diagnostic?

To provide hassle-free diagnostic service we also provide online service to book your appointment. At Ganesh Diagnostic, you can book MRI Screening Left Wrist tests online by scheduling your appointment. Quick, non-invasive MRI appointment is available for detailed insights into your body. Schedule now for a comprehensive health assessment. We are 24/7 Available at your service

Test Type MRI Screening Left Wrist
Includes

MRI Screening Left Wrist (MRI Scan)

Preparation
  • Remove the object that contains Metal, such as Jewellery, Hair Clips, watches, Rings, or any other similar object.
  • you must inform the technologist, radiology nurse, and/or physician if you have allergies, are pregnant, breastfeeding, or are on medication.
  • No fasting is required.
  • Doctor’s Prescription.
  • Bring all documents related to medical history.
  • Carry Your ID Proof.
Reporting

Within 4-6 hours*

Test Price ₹ 2500 ₹ 5000
Frequently Asked Questions
FAQ

MRI (Magnetic Resonance Imaging) screening of the left wrist is a non-invasive medical diagnostic tool used to obtain detailed images of the left wrist and the related tissue in the left wrist. MRI Screening of the left wrist is used to show abnormalities like fractures, injuries, and strains of the left wrist. 

Do not avoid the symptoms related to left wrist abnormalities, go for screening to avoid any delay in diagnosis and treatment. There are no such risks associated with an MRI screening of the left wrist when conducted in the presence of a healthcare expert and at a good healthcare facility with proper guidelines and protocols.

MRI Screening of the left wrist is a painless procedure, but some patients may feel uncomfortable with the test.

Patients can visit Ganesh's diagnostic website or call at 011-47-444-444 / 011-47-333-333 for an MRI Screening of the left wrist report online download.

 

MRI Screening of the Left Wrist is safe but in some rare cases, patients may feel side effects like rash, nausea and vomiting.

 

Related Tests

Health Packages

Early check ups are always better than delayed ones. Safety, precaution & care is depicted from the several health checkups. Here, we present simple & comprehensive health packages for any kind of testing to ensure the early prescribed treatment to safeguard your health.

view all health packages