Login

MRI Right Foot With Contrast - Test, Procedure & Cost

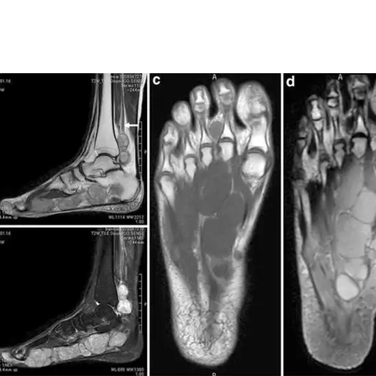
mri right foot with contrast

MRI Right Foot With Contrast

Book MRI Right Foot With Contrast Appointment Online Near me at the best price in Delhi/NCR from Ganesh Diagnostic. NABL & NABH Accredited Diagnostic centre and Pathology lab in Delhi offering a wide range of Radiology & Pathology tests. Get Free Ambulance & Free Home Sample collection. 24X7 Hour Open. Call Now at 011-47-444-444 to Book your MRI Right Foot With Contrast at 50% Discount.

₹ 14000 ₹ 7000

Request A Call Back

An MRI of the right foot with contrast reveals the bones and the soft tissues around them, such as tendons, ligaments, muscles, and blood vessels. The contrast improves the MRI's sensitivity and diagnostic accuracy by making internal organs more apparent.

This test is used to diagnose broken or fractured foot bones, osteoporosis, malformations, abnormal bone development, and arthritis (inflammation of the joints).

Why is it done?

  • Diagnosis of foot fractures.
  • To identify ligament, tendon, or muscle injuries.
  • Diagnose osteoporosis, bone abnormalities, and arthritis (inflammation of the joints).
  • Diagnose foot abscess and osteomyelitis (infection of the bones).

What is the procedure for the Right Foot with Contrast MRI Screening Test?

Patients must lie still during the MRI procedure.

How does one prepare for the test?

  • Tell your technician about surgical staples, clips, or pacemakers. You may need to remove jewellery and watches.
  • If you are pregnant, notify your technician, as radiation may harm the baby.
  • Before the procedure, check blood urea and creatinine to assess renal function and contrast safety.
  • You should wear loose-fitting clothing.

After Care

>>No care is required.

Cost of MRI Scan MRI Right-Foot-With-Contrast Test in Delhi

The cost of the CE MRI (Contrast-Enhanced Magnetic Resonance Imaging) Scan for the Right Leg Test in Delhi varies between INR 7,000-14,000. 

Book an MRI Right Foot With Contrast Online at Ganesh Diagnostic

To provide hassle-free diagnostic service we also provide online service to book your appointment. At Ganesh Diagnostic, you can book MRI Right Foot With Contrast tests online by scheduling your appointment. Quick, non-invasive MRI appointment is available for detailed insights into your body. Schedule now for a comprehensive health assessment. We are 24/7 Available at your service.

Test Type MRI Right Foot With Contrast
Includes
Preparation
  • Remove the object that contains Metal, such as Jewellery, Hair Clips, Watches, Rings, or any other similar object.
  • You must inform the technologist, radiology nurse, and/or physician if you have allergies, are pregnant, breastfeeding, or are on medication.
  • Minimum 4 hours fasting required.
  • You can drink water.
  • Latest (1 Week) Serum Creatinine or KFT report required.
  • Doctor’s Prescription.
  • Bring all documents related to medical history.
  • Carry your ID Proof.
Reporting

Within 4-6 hours*

Test Price ₹ 7000 ₹ 14000
Frequently Asked Questions
FAQ

Related Tests

Health Packages

Early check ups are always better than delayed ones. Safety, precaution & care is depicted from the several health checkups. Here, we present simple & comprehensive health packages for any kind of testing to ensure the early prescribed treatment to safeguard your health.

view all health packages