Login

MRI Pituitary - Test, Procedure & Cost

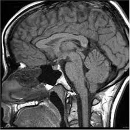
MRI Pituitary

MRI Pituitary

Book MRI Pituitary Appointment Online Near me at the best price in Delhi/NCR from Ganesh Diagnostic. NABL & NABH Accredited Diagnostic centre and Pathology lab in Delhi offering a wide range of Radiology & Pathology tests. Get Free Ambulance & Free Home Sample collection. 24X7 Hour Open. Call Now at 011-47-444-444 to Book your MRI Pituitary at 50% Discount.

₹ 10000 ₹ 5000

Request A Call Back

MRI of the pituitary is an imaging procedure that is useful to check the pituitary gland in the brain that regulates the hormones of the other glands.

Why done?

Magnetic Resonance Imaging gives clear pictures of soft-tissue and helps the doctor to analyse various types of body tissue as well as differentiate normal, functional tissue from sick tissue.

Procedure 

The procedure of MRI pituitary is done with the help of a magnetic field, and radio waves to get cross-section detailed imaging slices of the head on the computer.

How one is prepared for the test?

No fasting is needed.  You have to be in loose outfit as you will be asked to change into a hospital gown. No metal objects or accessories are allowed during imaging.

Required documents:

  • Doctor's prescription slip
  • Documents related to medical history
  • Any valid ID proof for verification

Aftercare: 

Take rest after your scan is completed. You can resume your work as usual after the scan. If a health issue rises check with your doctor immediately.

Cost of MRI Pituitary

This test costs around INR 4000-9000/-. Reach a certified diagnostic center like Ganesh Diagnostic as early as possible for the best results.

Book MRI Pituitary Online at Ganesh Diagnostic

To provide hassle-free diagnostic service we also provide online service to book your appointment. At Ganesh Diagnostic, you can book MRI Pituitary test online by scheduling your appointment. Quick, non-invasive MRI appointment is available for detailed insights into your body. Schedule now for a comprehensive health assessment. We are 24/7 Available at your service.

Test Type MRI Pituitary
Includes

MRI Pituitary (MRI Scan)

Preparation
  • Remove the object that contains Metal, such as Jewellery, Hair Clips, watches, Rings, or any other similar object.
  • You must inform the technologist, radiology nurse, and/or physician if you have allergies, are pregnant, breastfeeding, or are on medication.
  • No fasting is required.
  • Doctor’s Prescription.
  • Bring all documents related to medical history.
  • Carry Your ID Proof.
Reporting

Within 4-6 hours*

Test Price ₹ 5000 ₹ 10000
Frequently Asked Questions
FAQ

The MRI pituitary scan is the magnetic resonance imaging scan of the pituitary gland. The scan is an advanced diagnostic modality that poses minimal risks and stands safe in terms of radiation exposure. 

The pituitary is an endocrine gland that is placed in the sella turcica. Sella turcica is the hollowed-out bone area of the sphenoid bone. The pituitary is a pea-sized organ that is present behind the node bridge. The pituitary gland acts as a master gland as it controls various functions of your body. 

Magnetic resonance imaging of the pituitary gland helps in the identification of the disorders related to the pituitary gland, like determining its shape, size, shape, injury, etc. The MRI scan creates high-contrast images of the scan that aid in the diagnosis.

Generally, the MRI scan is preferred for image production of the pituitary gland as the MRI scan holds superiority in the definition of the soft tissues in the sella turcica bone. The MRI scan can detect even the tiniest lesions pertaining to the pituitary gland soft tissues.

The MRI pituitary scan is considered the best scan for finding tumors or cancers of the pituitary gland. This imaging technique operated using radiowaves and strong magnets. The scan images produced in the scanning technique help in determining abnormalities in the structures of the gland, thereby helping to nake the diagnosis. 

The MRI scan for the pituitary gland is absolutely safe when hazards are the point of concern. The scan doesn't operate on ionising radiations, the ionising radiations have the potential to damage tissues but the magnets and radiowaves that are used by the MRI pituitary scan don't pose any risk or side effects to you. 

The MRI-magnetic resonance imaging scan for the pituitary scan has a sensitivity of 99% and specificity of 29%. The MRI pituitary scan is an accurate and precise diagnostic modality that helps in pinpointing various injuries and abnormalities in the structure of the pituitary gland.

Yes, You can get a free consultation for your MR Pituitary, with Dr. Ravin Sharma (MBBS, MD in Radiology) who is available at our centre with Mob. no- +919212125996 and availability 24*7*365 days.

Related Tests

Health Packages

Early check ups are always better than delayed ones. Safety, precaution & care is depicted from the several health checkups. Here, we present simple & comprehensive health packages for any kind of testing to ensure the early prescribed treatment to safeguard your health.

view all health packages