toto toto slot
MRI Eye | Test Price in Delhi | Ganesh Diagnostic

Login

MRI Eye - Test, Procedure & Cost

MRI Eye

MRI Eye

Book MRI Eye Appointment Online Near me at the best price in Delhi/NCR from Ganesh Diagnostic. NABL & NABH Accredited Diagnostic centre and Pathology lab in Delhi offering a wide range of Radiology & Pathology tests. Get Free Ambulance & Free Home Sample collection. 24X7 Hour Open. Call Now at 011-47-444-444 to Book your MRI Eye at 50% Discount.

₹ 10000 ₹ 5000

Request A Call Back

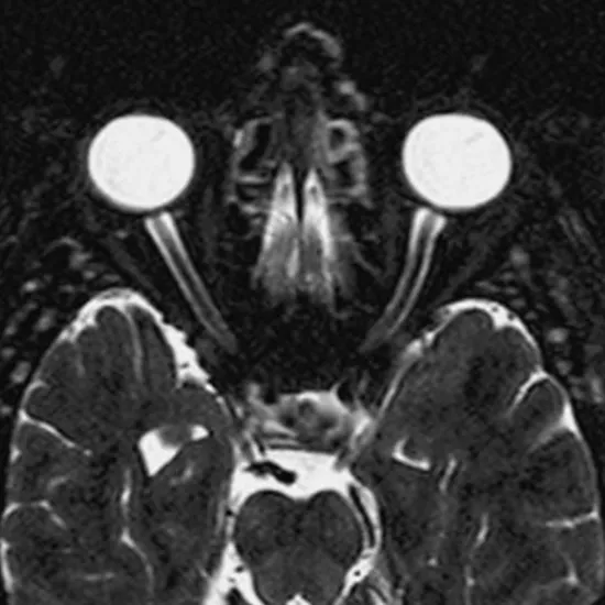
What is an MRI Eye?

MRI scans of the orbits measure the size of masses inside or behind the globe. MRI orbit scans are used to find out if there is a mass inside or behind the eye, a complicated infection, optic neuritis, another cause of vision loss, or thyroid ophthalmopathy. The 3D image clarifies if there is a problem or disease in the eye.

Why is an MRI Eye done? 

Orbit MRI scans are used to find tumors, infections, and long-term diseases that affect the structures in and around the orbits. Also, it detects if someone has Grave's disease.

What is the procedure for the Eye MRI Screening Test?

The MRI radiologist will explain. 

How does one prepare for the test? 

  • Notify your technician of any metallic implants such as surgical staples, clips, or pacemakers. You may also need to remove metal objects such as jewellery or metal watches.
  • If you are pregnant, notify your technician, as radiation may harm the baby.

Aftercare: 

No care is required.

What is the Cost of an MRI Scan of the Orbit / Eye Test in Delhi: 

The Magnetic resonance imaging (MRI) price for eye tests in Delhi ranges in between INR 4,000 and 8,000.

How to Book MRI Eye Online at Ganesh Diagnostic

To provide hassle-free diagnostic service we also provide online service to book your appointment. At Ganesh Diagnostic, you can book MRI Eye tests online by scheduling your appointment. Quick, non-invasive MRI appointment is available for detailed insights into your body. Schedule now for a comprehensive health assessment. We are 24/7 Available at your service

Test Type MRI Eye
Includes

MRI Eye (MRI Scan)

Preparation
  • Remove the object that contains Metal, such as Jewellery, Hair Clips, watches, Rings, or any other similar object.
  • You must inform the technologist, radiology nurse, and/or physician if you have allergies, are pregnant, breastfeeding, or are on medication.
  • No fasting is required.
  • Doctor’s Prescription.
  • Bring all documents related to medical history.
  • Carry Your ID Proof.
Reporting

Within 4-6 hours*

Test Price ₹ 5000 ₹ 10000
Frequently Asked Questions
FAQ

MRI Eye is a Magnetic Resonance Imaging non-invasive medical diagnostic tool used to diagnose abnormalities in and around the eye. MRI Eye is used to show abnormalities in the eye like infections in the eye, masses in the eye, vision abnormalities, optic nerves etc. 

Do not avoid the symptoms related to eye and eye nerve abnormalities, go for screening to avoid any delay in diagnosis and treatment. There are no such risks associated with MRI Eye when conducted in the presence of a healthcare expert and at a good healthcare facility with proper guidelines and protocols.

MRI Eye is a painless procedure, but some patients may feel uncomfortable with the test because the machine produces some sound. 

Patients can visit Ganesh's diagnostic website or call at 011-47-444-444 / 011-47-333-333 for an MRI Eye report online download.

 

MRI Eye is safe but in some rare cases, patients may feel side effects like rash, nausea and vomiting.

 

Related Tests

Health Packages

Early check ups are always better than delayed ones. Safety, precaution & care is depicted from the several health checkups. Here, we present simple & comprehensive health packages for any kind of testing to ensure the early prescribed treatment to safeguard your health.

view all health packages