Login

MRI CSF Flow Study - Book Test at Low Cost

MRI CSF Flow Study

MRI CSF Flow Study

Book MRI CSF Flow Study Appointment Online Near me at the best price in Delhi/NCR from Ganesh Diagnostic. NABL & NABH Accredited Diagnostic centre and Pathology lab in Delhi offering a wide range of Radiology & Pathology tests. Get Free Ambulance & Free Home Sample collection. 24X7 Hour Open. Call Now at 011-47-444-444 to Book your MRI CSF Flow Study at 50% Discount.

₹ 9000 ₹ 4500

Request A Call Back

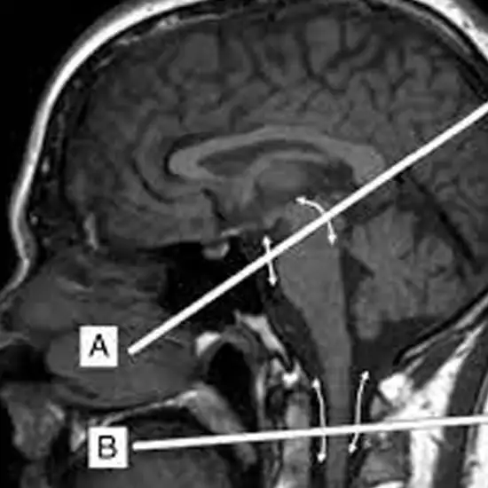
A Magnetic Resonance Imaging (MRI) brain with CSF (cerebrospinal fluid) research generates an image of the CSF's volume, back and forth movement of CSF fluid and surrounding soft tissues.

The doctor prescribes this test to diagnose brain tumors by examining the accumulation of excessive CSF within the brain cavities and detecting an increase or reduction in CSF flow.

Phase contrast magnetic resonance imaging (PC-MRI)

This is a specific type of the magnetic resonance imaging which is primarily used to determine the flow velocities.

PC-MRI could be considered as a method of the Magnetic Resonance Velocimetry. Moreover, it also provides a method of magnetic resonance angiography.

CSF Fluid

CSF is known to be a clear fluid that surrounds our brain and our spinal cord. The rate of this CSF formation in humans is around 0.3–0.4 ml per minute. And the total CSF volume is seen to be around 90–150 ml in adults.

Why is MRI CSF Flow Study done?

  1. To diagnose brain cancers like cerebrospinal fluid (CSF) build-up.
  2. To find out if the brain has tumors like arachnoid cysts (non-cancerous fluid filled sac) or chordomas (rare bone tumor). 
  3. To measure brain CSF flow and ventriculoperitoneal pressure.
  4. To diagnose cerebral ischemia or stroke clots.

Uses:

  • The CSF flow MRI could be used to discriminate between the communicating hydrocephalus (abnormal buildup of CSF in brain)and the non-communicating hydrocephalus
  • To be able to localize the level of any obstruction in an obstructive hydrocephalus
  • To determine whether the arachnoid cysts can communicate with the subarachnoid space (space between arachnoid matter and inner lining of brain i.e. Pia mater)

Guidelines to follow before, during and after the test

Here are some guidelines an individual can refer to once they have decided to undergo a MRI Scan for assessing CSF flow.

The required documents needed for this test includes your valid government ID and an appropriate Doctor’s prescription.

Before the Test

Very little preparation is generally required before the scan

Some of the steps are listed below:

  1. At the hospital, just before the test is done, the patient is asked to change into the gown.

Reason: As magnets would be used in the test, it is truly critical that no metal objects are detected by the scanner. This also holds good for metal jewellery or accessories that might interfere with the MRI machine.

Note: No MRI can be taken if there are bullets, shrapnel, or metallic foreign body in the body.

  1. This also holds good for medical devices, cochlear implants, any aneurysm clips, or pacemakers. No metallic devices can be present, while being in the MRI scanner.
  2. Apprehensive Individuals because of enclosed spaces should inform the doctor. They also might be some prior given medication to make the procedure simpler and comfortable.

During the Test

  1. The MRI technician communicates with the patient to ease the patient and only begin once the patient is ready.
  2. During the process of scanning, it is fundamental to stay still. Any slight movement can disrupt the desired images.

Note: Loud clanging noises coming from the scanner are normal. In some cases, patient may be asked to hold the breath for a while. Also, to terminate the scan if patient feels uncomfortable during the MRI scanning procedure.

After the test

  1. After the scanning is complete, the respective radiologist would examine the images to understand whether any more of them are required ahead. Once the radiologist is satisfied, the patient could go back home.
  2. Also, patients are required to take appointment with their respective doctor to discuss the results for future treatment planning.

Why should Ganesh diagnostic and Imaging Centre be your preference?

At Ganesh Diagnostic and Imaging Centre, we are known for providing excellent service and care to its patients for decades. Lakhs of satisfied patients over the years!

It is an established and renowned diagnostic centre since 2001.

Their excellence is backed by NABH and NABL Accreditations

NABH accreditation is proof of highest standard of care and service provided to the patients. NABL accreditation reflects the competency of laboratories and equipment based on some national and international standards.

Test report is available digitally too.

Ganesh Diagnostic and Imaging Centre is a one-stop solution for getting all kinds of tests done, as all services are available under one roof.

The aim of GDIC is to provide world’s finest technology at the lowest price. 

The rates of scans are reasonably priced. Ganesh Diagnostic and Imaging Centre also offer FLAT 50% OFF on many tests. 

Patients can rely upon test reports as reports are 100% accurate

Cost of Cerebrospinal Fluid Flow MRI Scan Test in Delhi:

Ganesh Diagnostic's knowledgeable and experienced personnel ensure patient safety. The cost of the Magnetic resonance imaging (MRI) for the CSF flow study test in Delhi varies between INR 4,000-8,000. 

Book MRI CSF Flow Study Online at Ganesh Diagnostic

To provide hassle-free diagnostic service we also provide online service to book your appointment. At Ganesh Diagnostic, you can book MRI CSF Flow Study test by scheduling your appointment. Quick, non-invasive MRI appointment is available for detailed insights into your body. Schedule now for a comprehensive health assessment. We are 24/7 Available at your service.

Test Type MRI CSF Flow Study
Includes

MRI CSF flow Study (MRI Scans)

Preparation

Here are some guidelines an individual can refer to once they have decided to undergo a MRI Scan for assessing CSF flow.

The required documents needed for this test includes your valid government ID and an appropriate Doctor’s prescription.

Before the Test

Very little preparation is generally required before the scan

Some of the steps are listed below:

  1. At the hospital, just before the test is done, the patient is asked to change into the gown.

Reason: As magnets would be used in the test, it is truly critical that no metal objects are detected by the scanner. This also holds good for metal jewellery or accessories that might interfere with the MRI machine.

Note: No MRI can be taken if there are bullets, shrapnel, or metallic foreign body in the body.

  1. This also holds good for medical devices, cochlear implants, any aneurysm clips, or pacemakers. No metallic devices can be present, while being in the MRI scanner.
  2. Apprehensive Individuals because of enclosed spaces should inform the doctor. They also might be some prior given medication to make the procedure simpler and comfortable.
Reporting

Within 4-6 hours*

Test Price ₹ 4500 ₹ 9000
Frequently Asked Questions
FAQ

For the CSF flow evaluation, the two series of phase-contrast imaging techniques are generally applied.

One in axial plane with the through-plane velocity encoding and for the flow quantification, and the other is in sagittal plane, with the in-plane velocity that is encoding for a qualitative assessment.

The enriched broth medium is seen to be routinely used as the supplement for the agar plate culture of the cerebrospinal fluid (CSF).

While the normal CSF flow measurement value of say:  less than 18 ml min−1 with the sinusoidal flow pattern being normal, a flow that is  greater than 18 ml min−1 suggests-  idiopathic NPH at the cerebral aqueduct .

It is also seen that demonstration of an increased pulsatility throughout the cerebral aqueduct has been correlated (in many research studies) with a favorable response to the shunting process.

Communicating hydrocephalus (abnormal buildup of CSF in the brain) is defined as the CSF flow circulation abnormality which is outside the ventricular system and that produces an increase in ventricular size.

An abnormal level of protein in the CSF is suggestive of a problem in the central nervous system.

The Increased protein level might be due to the following:

  • Sign Of A Tumor
  • Bleeding
  • Nerve Inflammation 
  • Injury

 A significant blockage in the flow of the spinal fluid can also cause rapid buildup of the protein in the lower spinal area.

The Magnetic resonance imaging (MRI) is used to accurately detect any CSF leaks and any associated complications such as: Encephaloceles and Meningoceles.

Visit the Nearest Ganesh diagnostic and Imaging Centre 

At Ganesh Diagnostic and Imaging Centre, we are known for providing excellent service and care to its patients for decades. Lakhs of satisfied patients over the years!

It is an established and renowned diagnostic centre since 2001.

Their excellence is backed by NABH and NABL Accreditations. 

NABH accreditation is proof of highest standard of care and service provided to the patients. NABL accreditation reflects the competency of laboratories and equipment based on some national and international standards.

Test report is available digitally too and received within 24 hours.

Note from Ganesh Diagnostic and Imaging Center

  • Early checkups are always better than delayed ones. Safety, precaution & care are depicted in the several health checkups at our center.
  • Here, at Ganesh Diagnostic and Imagining Center, we present simple & comprehensive health packages for any kind of testing to ensure the early prescribed treatment to safeguard your health.

So, visit us at the earliest to ensure good health and to maintain an active immune system.

Related Tests

Health Packages

Early check ups are always better than delayed ones. Safety, precaution & care is depicted from the several health checkups. Here, we present simple & comprehensive health packages for any kind of testing to ensure the early prescribed treatment to safeguard your health.

view all health packages