Login

MR Angiography Renal With Contrast - Test, Procedure & Cost

MR Angiography Renal With Contrast

MR Angiography Renal With Contrast

Book MR Angiography Renal With Contrast Appointment Online Near me at the best price in Delhi/NCR from Ganesh Diagnostic. NABL & NABH Accredited Diagnostic centre and Pathology lab in Delhi offering a wide range of Radiology & Pathology tests. Get Free Ambulance & Free Home Sample collection. 24X7 Hour Open. Call Now at 011-47-444-444 to Book your MR Angiography Renal With Contrast at 50% Discount.

₹ 22000 ₹ 11000

Request A Call Back

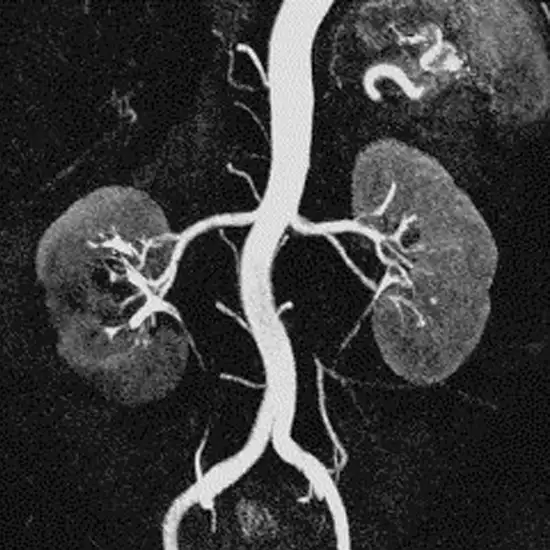
Magnetic resonance angiography (MRA) employs MRI and IV contrast dye to see blood vessels. An MRA checks the heart, soft tissues, and blood flow. The contrast dye makes blood arteries opaque on MRI images, allowing doctors to assess them.

Why is it done? 

For diagnosing renal artery stenosis. Renal artery stenosis is when one or both kidney arteries get smaller. Your kidneys get blood from these blood vessels. They also help keep the body's blood pressure in check.

What is the procedure for the Follicular MRI Screening Test?

The MRI radiologist will explain. 

How does one prepare for the test? 

  • Tell your technician about surgical staples, clips, or pacemakers. You may need to remove +jewellery and watches.
  • If you are pregnant, notify your technician, as radiation may harm the baby.
  • Required are blood test reports for urea and creatinine. Fasting for 4–to 6 hours is optimal.

After Care: 

No care is required.

The cost of an MRI Scan Follicular Test in Delhi: 

The cost of the CE MRI (Contrast-Enhanced Magnetic Resonance Imaging) Scan for Renal Angiography Test in Delhi varies between INR 11000 and INR 22,000.

Book MR Angiography Renal With Contrast Online at Ganesh Diagnostic

To provide hassle-free diagnostic service we also provide online service to book your appointment. At Ganesh Diagnostic, you can book MR Angiography Renal With Contrast test by scheduling your appointment. Quick, non-invasive MRI appointment is available for detailed insights into your body. Schedule now for a comprehensive health assessment. We are 24/7 Available at your service.

Test Type MR Angiography Renal With Contrast
Includes

MR Angiography Renal With Contrast (MRI Scans)

Preparation
  • Remove the object that contains Metal, such as Jewellery, Hair Clips, Watches, Rings, or any other similar object. 
  • You must inform the technologist, radiology nurse, and/or physician if you have allergies, are pregnant, breastfeeding, or are on medication. 
  • Minimum 4 hours fasting required. 
  • You can drink water. 
  • Latest (1 Week) Serum Creatinine or KFT report required. 
  • Doctor’s prescription. 
  • Bring all documents related to medical history. 
  • Carry your ID Proof.
Reporting

Within 4-6 hours*  
 

Test Price ₹ 11000 ₹ 22000
Frequently Asked Questions
FAQ

Related Tests

Health Packages

Early check ups are always better than delayed ones. Safety, precaution & care is depicted from the several health checkups. Here, we present simple & comprehensive health packages for any kind of testing to ensure the early prescribed treatment to safeguard your health.

view all health packages