Login

MR Angiography Brain T2W - Book Test at Low Cost

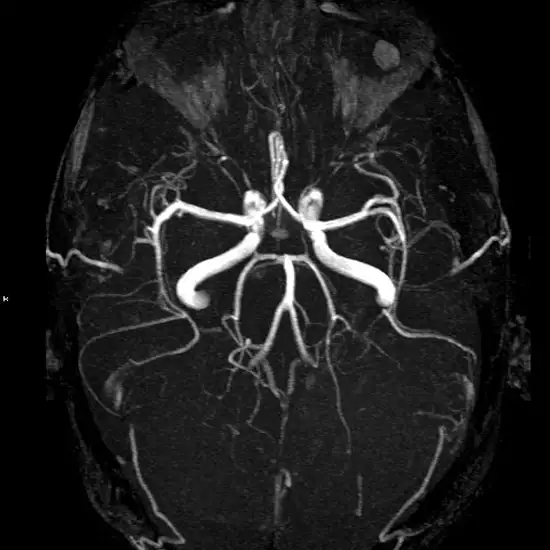
MR Angiography Brain T2W

MR Angiography Brain T2W

Book MR Angiography Brain T2W Appointment Online Near me at the best price in Delhi/NCR from Ganesh Diagnostic. NABL & NABH Accredited Diagnostic centre and Pathology lab in Delhi offering a wide range of Radiology & Pathology tests. Get Free Ambulance & Free Home Sample collection. 24X7 Hour Open. Call Now at 011-47-444-444 to Book your MR Angiography Brain T2W at 50% Discount.

₹ 12000 ₹ 6000

Request A Call Back

What is MR Angiography Brain T2W?

MR Angiography Brain T2W imagining is one of the basic pulse sequences on MRI. During the test, images are produced by using longer TE (Time to Echo) and TR (Repetition Time) times and are predominately determined by the T2 properties of tissue.

Why is MR Angiography Brain T2W done?

Through the T2-weighted MRI scans, doctors seek information about disease burden or lesion load or the total amount of lesion area. It is performed to detect paramagnetic deoxyhemoglobin, methemoglobin, or hemosiderin in lesions and tissues.

What is the Procedure for MR Angiography Brain T2W?

A patient is asked to lie on his back on a flat surface which is slipped into the magnetic resonance imaging scanner. A special dye is injected into the bloodstream to have a clear vision of the blood vessels.

How does one prepare for a test?

You can eat and drink as usual before the test as there is no strict rule. Your doctor will ask you to remove all your jewellery and other valuables.  

Required documents

  • Doctor's prescription slip
  • Documents related to medical history
  • Any valid ID proof for verification

Aftercare

After the Brain TW2 test, you can resume your daily work, and eat and drink normally unless your doctor instructs otherwise. However, if you are given a sedative then you need to be careful for 24 hours and also maintain a safe distance from ladies' partners and kids for 4-5 days. 

What is the Cost of MR ANGIO BRAIN T2W? 

This test costs around Rs.11000-12000 Reach certified diagnostic centres like Ganesh Diagnostic as early as possible for best results.

How to Book MR Angiography Brain T2W Online at Ganesh Diagnostic?

To provide hassle-free diagnostic service we also provide online service to book your appointment. At Ganesh Diagnostic, you can book the MR Angiography Brain T2W test online by scheduling your appointment. Quick, non-invasive MRI appointment is available for detailed insights into your body. Schedule now for a comprehensive health assessment. We are 24/7 Available at your service.

Test Type MR Angiography Brain T2W
Includes

MR Angiography Brain T2W (MRI Scan)

Preparation
  • Remove the object that contains Metal, such as Jewellery, Hair Clips, Watches, Rings, or any other similar object.
  • You must inform the technologist, radiology nurse, and/or physician if you have allergies, are pregnant, breastfeeding, or are on medication.
  • No fasting is required.
  • You can drink water.
  • Latest (1 Week) Serum Creatinine or KFT report required.
  • Doctor’s prescription.
  • Bring all documents related to medical history.
  • Carry your ID Proof.
Reporting

Within 4-6 hours*

Test Price ₹ 6000 ₹ 12000
Frequently Asked Questions
FAQ

MR Angiography Brain T2W is a Magnetic Resonance Imaging non-invasive medical diagnostic tool for the detection of abnormalities in the brain by pulse sequence. MR Angiography Brain T2W is used to show brain abnormalities in more detail.

 

Do not avoid the symptoms related to the brain abnormalities, go for screening to avoid any delay in diagnosis and treatment. There are no such risks associated with an MR Angiography Brain T2W when conducted in the presence of a healthcare expert and at a good healthcare facility with proper guidelines and protocols.

 

MR Angiography Brain T2W is a painless procedure, but some patients may feel uncomfortable if they have claustrophobia (fear of closed spaces). The cost of an MR Angiography Brain T2W depends on the area and the healthcare facility provider. You can choose Ganesh Diagnostic for discounts and the best facility or call at 011-47-444-444 / 011-47-333-333 for an appointment.

Patients can visit Ganesh's diagnostic website or call at 011-47-444-444 / 011-47-333-333 for MR Angiography Brain T2W reports.

 

MR Angiography Brain T2W is safe but in some rare cases, patients may feel side effects like rash, nausea and vomiting.

 

You can type an MR Angiography Brain T2W Centre near me in Google search for the nearest centres available.

 

Related Tests

Health Packages

Early check ups are always better than delayed ones. Safety, precaution & care is depicted from the several health checkups. Here, we present simple & comprehensive health packages for any kind of testing to ensure the early prescribed treatment to safeguard your health.

view all health packages