Login

Megalencephalic Leukoencephalopathy Test and Its Cost

Megalencephalic Leukoencephalopathy Test

Megalencephalic Leukoencephalopathy

Book Megalencephalic Leukoencephalopathy Appointment Online Near me at the best price in Delhi/NCR from Ganesh Diagnostic. NABL & NABH Accredited Diagnostic centre and Pathology lab in Delhi offering a wide range of Radiology & Pathology tests. Get Free Ambulance & Free Home Sample collection. 24X7 Hour Open. Call Now at 011-47-444-444 to Book your Megalencephalic Leukoencephalopathy at 20% Discount.

₹ 5500 ₹ 4125

Request A Call Back

Book Megalencephalic Leukoencephalopathy Test at the best price in Delhi NCR, India from GDIC (Ganesh Diagnostic & Imaging Centre). GDIC is a NABL Accredited Pathology lab in Delhi offering a wide range of lab testing services.

What is Megalencephalic Leukoencephalopathy Test?

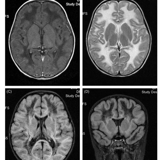
Megalencephalic leukoencephalopathy with subcortical cysts is a progressive disease that interferes with brain development and function. Individuals with this condition usually have an enlarged brain at birth or within the first year of life.

Other Names:

  • Leukoencephalopathy with swelling and cysts
  • LVM
  • MLC

Why it is done?

If you have symptoms of this, your doctor will advise you to undergo this test.

The following are general MLD symptoms seen in all three forms of the disease:

  1. unusual muscle movement
  2. issues with behaviour
  3. reduced mental function
  4. reduced muscle tone difficulty walking difficulty eating or feeding falls
  5. incontinence

What is the procedure for Megalencephalic Leukoencephalopathy Test?

Blood tests will be used by your doctor to determine whether you have an enzyme deficiency.

Urine tests will be performed to determine if you have a sulfatide build up.

Your doctor may order a genetic test to see if you have the MLD gene.

A nerve conduction study may be performed to determine how electrical impulses travel through your nerves and muscles. This test can be used to assess the extent of nerve damage caused by MLD.

An MRI could be used to examine your brain. MLD causes sulfatide build up in the brain. An MRI can reveal this.

How does one prepare for the test? 

No preparation is needed.

Required Documents for:

  • A doctor's prescription
  • A valid government ID

After Care

No care is required.

The Cost Of Megalencephalic Leukoencephalopathy Test In Delhi

The Megalencephalic Leukoencephalopathy Test costs vary by region and facility. So, get tested at trustworthy diagnostic centre like Ganesh Diagnostic. Training and experienced professionals are staffed to assure patient and visitor safety.

Test Type Megalencephalic Leukoencephalopathy
Includes

Megalencephalic Leukoencephalopathy - lab tests

Preparation
Reporting

Within 24 Hours*.

Test Price ₹ 4125 ₹ 5500
Frequently Asked Questions
FAQ

Related Tests

Health Packages

Early check ups are always better than delayed ones. Safety, precaution & care is depicted from the several health checkups. Here, we present simple & comprehensive health packages for any kind of testing to ensure the early prescribed treatment to safeguard your health.

view all health packages