Login

Mammary Secretory Carcinoma Test Package at Affordable Price

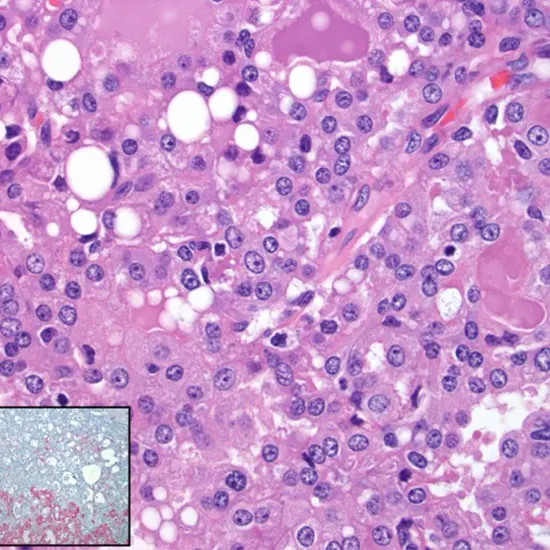
mammary secretory carcinoma

Mammary Secretory Carcinoma

Book Mammary Secretory Carcinoma Appointment Online Near me at the best price in Delhi/NCR from Ganesh Diagnostic. NABL & NABH Accredited Diagnostic centre and Pathology lab in Delhi offering a wide range of Radiology & Pathology tests. Get Free Ambulance & Free Home Sample collection. 24X7 Hour Open. Call Now at 011-47-444-444 to Book your Mammary Secretory Carcinoma at 50% Discount.

₹ 36000 ₹ 18000

Request A Call Back

Mammary secretory carcinoma (MSC) is a rare type of breast cancer that belongs to the family of secretory breast carcinomas. It is characterized by the presence of specialized cells that produce and secrete milk-like fluid, giving it its name. MSC typically occurs in the breast tissue, and it is most commonly diagnosed in young to middle-aged women, although it can occur in males and females of any age.

Symptoms of mammary secretory carcinoma may include a palpable lump in the breast, changes in breast size or shape, skin changes over the breast, and, in some cases, nipple discharge. However, MSC can sometimes be asymptomatic and may be detected incidentally through imaging studies or biopsies.

Our Mammary secretory carcinoma Test Package Includes:

 Mammography X Ray Both Side Breast    3500 1750
 Breast Ultrasound        3000 1500
 MRI Breast with contrast    16000 8000
 MR Spectroscopy   8000 4000
 Ultrasound Guided FNAC 5500 2750
 Total  Price       36000 18000

Diagnosis of MSC typically involves a combination of physical examination, imaging tests (such as mammography, ultrasound, or MRI), and biopsy to confirm the presence of MSC cells. MSC is typically characterized by the presence of characteristic microscopic features, including secretory cells with abundant eosinophilic cytoplasm (meaning they stain pink under a microscope) and the presence of secretory material.

Test Type Mammary Secretory Carcinoma
Includes

Mammary Secretory Carcinoma (Common Diseases)

Preparation
Reporting

Within 24 hours*

Test Price ₹ 18000 ₹ 36000
Frequently Asked Questions
FAQ

Related Tests

Health Packages

Early check ups are always better than delayed ones. Safety, precaution & care is depicted from the several health checkups. Here, we present simple & comprehensive health packages for any kind of testing to ensure the early prescribed treatment to safeguard your health.

view all health packages