Login

Invasive Cribriform Carcinoma of the Breast Test Package at Affordable Price

invasive cribriform carcinoma of the breast

Invasive Cribriform Carcinoma of the Breast

Book Invasive Cribriform Carcinoma of the Breast Appointment Online Near me at the best price in Delhi/NCR from Ganesh Diagnostic. NABL & NABH Accredited Diagnostic centre and Pathology lab in Delhi offering a wide range of Radiology & Pathology tests. Get Free Ambulance & Free Home Sample collection. 24X7 Hour Open. Call Now at 011-47-444-444 to Book your Invasive Cribriform Carcinoma of the Breast at 50% Discount.

₹ 46400 ₹ 23200

Request A Call Back

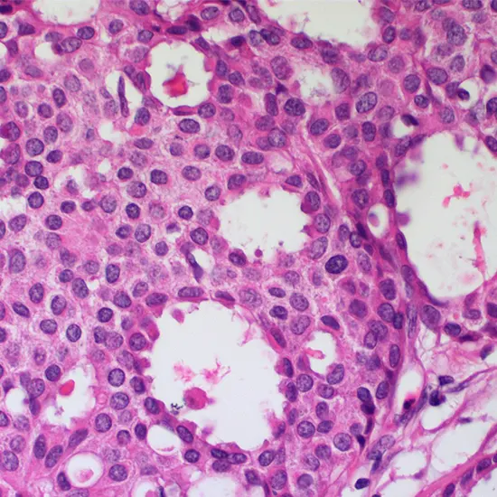
Invasive cribriform carcinoma of the breast is a type of breast cancer that is characterized by the presence of a cribriform growth pattern, which refers to the formation of small, glandular-like spaces with rounded or oval shapes. It is considered a subtype of invasive ductal carcinoma, which is the most common type of breast cancer.

Invasive cribriform carcinoma of the breast is typically diagnosed through a breast biopsy or surgical excision and is confirmed through pathological examination by a pathologist. The cancer cells may appear cribriform under a microscope, forming small spaces or "cribriform" patterns. The tumor cells may also invade the surrounding breast tissue, which distinguishes it from in situ cribriform carcinoma, where the cancer cells are confined to the milk ducts without invading the surrounding tissue.

Like other breast cancers, early detection and prompt treatment can improve outcomes for invasive cribriform carcinoma of the breast. Regular breast self-exams, mammograms, and clinical breast exams are important screening methods for detecting breast cancer early.

Our Invasive cribriform carcinoma of the breast test package includes:

 Mammography X-Ray both side breast 3500 1750
 Breast Ultrasound  3000 1500
 MRI Breast  16000 8000
 Whole Body PET Scan  23900 11950
 Total  Price       46400 23200

If you have concerns about breast health or have been diagnosed with invasive cribriform carcinoma of the breast, it's important to consult with a qualified healthcare professional for personalized medical advice and management.

Test Type Invasive Cribriform Carcinoma of the Breast
Includes

Invasive Cribriform Carcinoma of the Breast (Common Diseases)

Preparation
Reporting

Within 24 hours*

Test Price ₹ 23200 ₹ 46400
Frequently Asked Questions
FAQ

Related Tests

Health Packages

Early check ups are always better than delayed ones. Safety, precaution & care is depicted from the several health checkups. Here, we present simple & comprehensive health packages for any kind of testing to ensure the early prescribed treatment to safeguard your health.

view all health packages