Login

IHC: Ki-67 Marker Test Cost & Procedure

ihc: ki-67 marker

Immunohistochemistry Ki 67 Marker

Book Immunohistochemistry Ki 67 Marker Appointment Online Near me at the best price in Delhi/NCR from Ganesh Diagnostic. NABL & NABH Accredited Diagnostic centre and Pathology lab in Delhi offering a wide range of Radiology & Pathology tests. Get Free Ambulance & Free Home Sample collection. 24X7 Hour Open. Call Now at 011-47-444-444 to Book your Immunohistochemistry Ki 67 Marker at 50% Discount.

₹ 2900 ₹ 1450

Request A Call Back

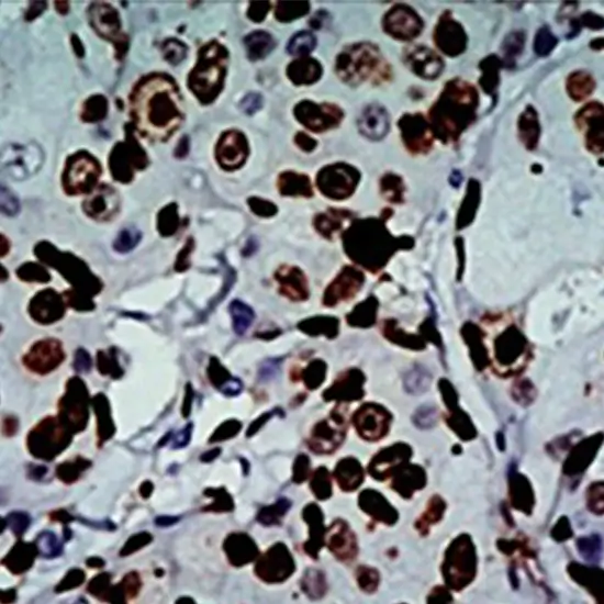
The nuclear protein Ki-67 is essential for preserving cell growth. All non-G0 stages of the cell cycle contain Ki-67. The level rises mid-G1 and continues through S and G2 to peak in the M phase. It quickly metabolised at the end of the M phase. In many different forms of neoplasms, including malignant lymphomas, prostatic and breast adenocarcinomas, astrocyte neoplasms, and soft tissue neoplasms, Ki-67 has been used as a marker of proliferation and, consequently, prognosis.

What is The IHC - Ki67 Marker?

Additionally, it aids in classifying neuroendocrine cancers. This tesevaluateste the growth of tumor cells in all cancer types. Nuclear non-histone protein Ki-67 is found in increasing cells at higher levels than in quiescent cells. Because of this, the IHC (Immunohistochemical) Method refers to Ki-67 as a specific nuclear marker for cell proliferation.

IHC - Ki67 Marker Test Preparation

For this test, no extra preparation is required. Before having the IHC-Ki-67-Marker, let your doctor know if you use any prescription drugs, have any underlying medical conditions, or have any allergies. Your doctor will provide particular instructions based on your requirements.

IHC - Ki 67 Marker Test Applications

Since Ki-67 is a nuclear non-histone protein, quiescent cells have low levels of i,t, while proliferating cells have higher levels. Hence, it is a particular atomic marker for cell proliferation. A higher Ki-67 reactivity may indicate unfavorable results if the Ki-67 value for breast cancer is increased. The prognosis is favorable.

IHC - Ki 67 Marker Test Procedure:

  • A smear or a piece of tumor tissue is obtained as the sample.
  • To prevent them, an example, from becoming contaminated, caution must be exercised.
  •  The tumor tissue that has been collected isdeparaffinisedd, and then the antigen is revealed.
  • Utilizing chromogens results in staining. It is recorded and analysed how many tumor cells exhibit nuclear staining.

Test Type Immunohistochemistry Ki 67 Marker
Includes

Immunohistochemistry Ki 67 Marker (Pathology)

Preparation
Reporting

Within 24 hours*

Test Price ₹ 1450 ₹ 2900
Frequently Asked Questions
FAQ

Related Tests

Health Packages

Early check ups are always better than delayed ones. Safety, precaution & care is depicted from the several health checkups. Here, we present simple & comprehensive health packages for any kind of testing to ensure the early prescribed treatment to safeguard your health.

view all health packages