Login

IHC - Terminal Deoxynucleotidyl Transferase (TdT) Test Cost & Procedure

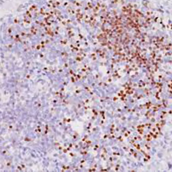
IHC - Terminal Deoxynucleotidyl Transferase (TdT)

IHC - Terminal Deoxynucleotidyl Transferase (TdT)

Book IHC - Terminal Deoxynucleotidyl Transferase (TdT) Appointment Online Near me at the best price in Delhi/NCR from Ganesh Diagnostic. NABL & NABH Accredited Diagnostic centre and Pathology lab in Delhi offering a wide range of Radiology & Pathology tests. Get Free Ambulance & Free Home Sample collection. 24X7 Hour Open. Call Now at 011-47-444-444 to Book your IHC - Terminal Deoxynucleotidyl Transferase (TdT)

₹ 5060

Request A Call Back

What is a marker for TdT?

TdT, a marker for leukemia and lymphoma cells, is deoxynucleotidyl transferase.

TdT marker in leukemia: what is it?

At the time of diagnosis, acute myeloblastic leukemia (AML) exhibits less than 1% TdT-positive cells, but ALL investigations typically show more significant than 40% TdT-positive cells.

Which tumors test positive for TdT?

TdT is expressed in the majority of juvenile non-hematopoietic small round cell solid tumors as well as a small percentage of acute myeloid leukemia cases, CD56+/CD4+ ectodermic neoplasms, and sensitive lymphoblastic lymphomas.

What stains with TdT?

Abstract. The nuclear protein known as terminal deoxynucleotidyl transferase (TdT) is frequently used as a diagnostic and classification tool for acute leukemia. Smears, impressions, or cryostat slices of unfixed tissue are required by conventional methods for detecting TdT.

Does TdT show up in t ALL?

Both B- and T-cell ALL (T-ALL) exhibit positive TdT staining, which helps distinguish ALL from mature lymphoid malignancies [4, 5]. Dermatopathologists don't frequently employ TdT, and the staining pattern it leaves on inflamed skin is poorly understood.

Initially thought to be a hallmark of immature lymphoid cells, terminal deoxynucleotidyl transferase (TdT) has recently been implicated in the development of acute myeloid leukemia in numerous investigations (AML).

In AML, is TdT positive?

Chromosome 13 gain and abnormalities in chromosomes 5 and 17 have an inverse relationship with TdT expression in AML-M0.

TdT negative: What does that mean?

A subtype of T-cell lymphoblastic lymphoma/T-cell lymphoblastic leukemia is terminal deoxynucleotidyl transferase (TdT)-negative T-cell lymphoblastic lymphoma. In 90%–95% of cases of lymphoblastic lymphoma, the immaturity marker TdT is expressed, which helps to distinguish it from other mature lymphomas and leukemias.

What does the microbiological abbreviation TdT mean?

Introduction: A nuclear enzyme called terminal deoxynucleotidyl transferase (TdT) adds N-nucleotides to gene segment junctions in growing lymphocytes without a template.

TdT: DNA polymerase or not?

A template-independent DNA polymerase called Thermo Scientific's Terminal Deoxynucleotidyl Transferase (TdT) catalyzes the recurrent addition of deoxyribonucleotides to the 3'-OH of oligodeoxyribonucleotides and single-stranded and double-stranded DNA.

What applications does terminal transferase have?

Deoxynucleotides are added to DNA molecules' 3' hydroxyl termini by terminal transferase. The addition of deoxynucleotides to the 3' hydroxyl terminus of DNA molecules is catalyzed by the enzyme terminal transferase (TdT), a template-independent polymerase.

Test Type IHC - Terminal Deoxynucleotidyl Transferase (TdT)
Includes

IHC - Terminal Deoxynucleotidyl Transferase (TdT) Test (Pathology Test)

Preparation
Reporting

Within 24 hours*

Test Price ₹ 5060
Frequently Asked Questions
FAQ

Related Tests

Health Packages

Early check ups are always better than delayed ones. Safety, precaution & care is depicted from the several health checkups. Here, we present simple & comprehensive health packages for any kind of testing to ensure the early prescribed treatment to safeguard your health.

view all health packages