Login

IHC - Inhibin Test Cost and Procedure

immunohistochemistry inhibin test

Immunohistochemistry Inhibin

Book Immunohistochemistry Inhibin Appointment Online Near me at the best price in Delhi/NCR from Ganesh Diagnostic. NABL & NABH Accredited Diagnostic centre and Pathology lab in Delhi offering a wide range of Radiology & Pathology tests. Get Free Ambulance & Free Home Sample collection. 24X7 Hour Open. Call Now at 011-47-444-444 to Book your Immunohistochemistry Inhibin at 50% Discount.

₹ 2300 ₹ 1150

Request A Call Back

Inhibin is a disulfide-linked dimeric 32 kDa glycoprotein hormone formulated of:

  • A and
  • B subunits.

The b subvariety lives as tiny four isoforms. Inhibin subdues FSH exposition. Activin, which facilitates FSH production, is formulated as two b subvarieties. It is accordingly the existence of the subvariety which is precise for inhibin.

Monoclonal Abs occur to have a narrower spectrum of immunostaining than polyclonal Abs. Most disseminated data are established on the monoclonal R1 Ab, which is supervised against the subvariety. E4 is directed against the bA subvariety and accordingly is immunostaining with both activin and inhibin. Abs are adequate on paraffin-embedded tissue.

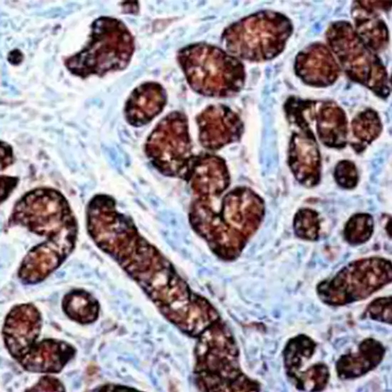
IHC manifestation of a-inhibin

  • Ordinary tissues:
  • ovarian granuloma compartments
  •  specified staining of theca externa
  • corpora lutea  and luteomas of pregnancy
  • testicular Sertoli and Leydig cells
  • Mammary gland
  • placental trophoblast
  • Endometrium, myometrium, and Fallopian pipe are reportedly not immune reactions
  • nonreproductive organs comprising the brain, pituitary, lung, spleen, pancreas, kidney, adrenal, and prostate are all documented as immunoreaction. Liver and bone marrow are documented not immunoreaction.
  • stromal hyperthecosis

Sample Required

Patient Preparation

Compile

Tissue or compartments.

Specimen Preparation

Formalin fix and paraffin-embedded sample. Protection paraffin bloc and drops from disproportionate warmth. Transport tissue block or five unstained entirely prosecuted drops in a tissue carrier kit.

Warehouse/Transport Temperature

Chamber temperature or cooled. Export in a cooled receptacle during the summer months.

Inappropriate crises

Samples proposed with non-representative tissue variety. Drained samples.

Remarks

IHC Ordering and Submission Details:  A submitted electronic proposal. If you do not have the electronic mandating capacity, use an ARUP IHC Stain Form with an ARUP customer numeral.

Strength

Ambient: unspecified; Chilled: unspecified; Frozen: Indecent

Documents

Procedure

IHC

Pseudonyms

  • Inhibin antibody immunostaining
  • Inhibin IHC

Clinical

  • Consideration Interval
  • Interpretive Data

This examination was formulated and its interpretation traits were specified by ARUP Labs. It has not been emptied or authorized by the US diet . This examination was conducted in a CLIA-certified lab and is planned for clinical objectives.

Test Type Immunohistochemistry Inhibin
Includes

IHC - Inhibin Test (Pathology)

Preparation
Reporting

Within 24 hours*

Test Price ₹ 1150 ₹ 2300
Frequently Asked Questions
FAQ

Related Tests

Health Packages

Early check ups are always better than delayed ones. Safety, precaution & care is depicted from the several health checkups. Here, we present simple & comprehensive health packages for any kind of testing to ensure the early prescribed treatment to safeguard your health.

view all health packages