Login

IHC - Human Melanoma Black 45 (HMB-45) Test Cost & Procedure

IHC - Human Melanoma Black 45 (HMB-45)

IHC - Human Melanoma Black 45 (HMB-45)

Book IHC - Human Melanoma Black 45 (HMB-45) Appointment Online Near me at the best price in Delhi/NCR from Ganesh Diagnostic. NABL & NABH Accredited Diagnostic centre and Pathology lab in Delhi offering a wide range of Radiology & Pathology tests. Get Free Ambulance & Free Home Sample collection. 24X7 Hour Open. Call Now at 011-47-444-444 to Book your IHC - Human Melanoma Black 45 (HMB-45) at 50% Discount.

₹ 2300 ₹ 1150

Request A Call Back

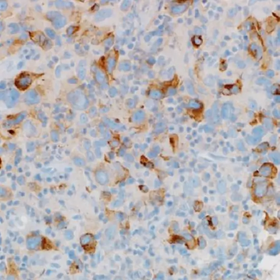
HMB-45 is a monoclonal Ab that responds against an Ag present in melanocytic cancer such as melanomas and perspectives for Human Melanoma Black. It is utilized in anatomic pathology as a characteristic of such cancers. The specific Ag recognized by HMB-45 is currently comprehended as Pmel 17.

What is IHC - Human Melanoma Black 45 Examination?

Human Melanoma Black 45 (HMB-45) is an Ab utilized as an IHC catalyst that has often existed tagged as a trait for melanoma, though numerous benign lesions have been reported to demonstrate favorable staining responses with this reagent. In IHC assays, this HMB-45 responds with melanoma compartments, junctional nevus compartments, and fetal melanocytes but normally not with totally melanized ordinary grown-up melanocytes or with IDN compartments. Except for some infrequent cancers exhibiting proof of melanogenesis or cancers associated with tuberous sclerosis complexity, HMB 45 is non-reactive with virtually all non-melanoma malignancies. HMB-45 in sentry lymph nodes is deemed to have quite false-favorable outcomes because of its interest solution and soft environment staining.

Preparation for IHC - HMB 45 Examination

• It does not mandate any type of unusual practice for the examination.

• Take guidance from your medic before experiencing the examination. Earlier in the examination, he/she may instruct you to quit grabbing specific prescriptions relying on your ailment.

• Sip sufficient water. Bringing yourself drained earlier in the examination is a further benefit in any blood examination as it nurtures the veins.

• Wearing packed full-sleeve clothing is not advisable because usually the phlebotomist collects the blood specimen from your arm and tight sleeves may induce complications in bringing the required vein.

Utilizes of IHC - Human Melanoma Black 45 Examination

The usage of IHC with a melanocytic characteristic such as HMB45 boosts the identification pace of the stretch of cancer from its actual area to further parts. Assists to determine conjunctival and choroidal melanomas as these conveyed the HMB-45 in addition to ninety five percent of the patients. HMB 45 Ab gives a qualitative appraisal of MM. The examination assists in marking the advancement of skin tumors.

Technique for IHC - Human Melanoma Black 45 Examination

A blood specimen is taken through the cult procedure. A band is dressed around the arm at about three inches above the superficial vein that fibs within the elbow hole The location is then scoured utilizing liquor, A A demand is then infiltrated into the vein to compile the required quantity of blood specimen by yanking the plunger of the needle attached to the syringe. The wrap mob is withdrawn and the bandage is referred to quit the bleeding. The blood is instantly disseminated into an anticoagulant receptacle. The needle and the syringe are disposed of under hygienic ailments.

Sample Requirements

 Sample.

  • paraffin waxed tissue

 Volume

  • 1 confederacy

 Container

  • sterile sample vessel

Test Type IHC - Human Melanoma Black 45 (HMB-45)
Includes

IHC - Human Melanoma Black 45 (HMB-45) Test (Pathology Lab)

Preparation
Reporting

Within 24 hours*

Test Price ₹ 1150 ₹ 2300
Frequently Asked Questions
FAQ

Related Tests

Health Packages

Early check ups are always better than delayed ones. Safety, precaution & care is depicted from the several health checkups. Here, we present simple & comprehensive health packages for any kind of testing to ensure the early prescribed treatment to safeguard your health.

view all health packages